Invitrogen
Invitrogen™ cell and molecular biology products range from do-it-yourself reagents and optimized kits to connected instruments, all working together holistically to enable scientists to do what they do best—only better.
Filtered Search Results
Products from some of our suppliers do not display in filtered search results. Please
clear all filters
to see these products.
1
–
15
of
13,732
results
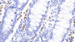
| Content And Storage | 4°C, store in dark |
|---|---|
| Target Species | Human |
| Host Species | Mouse |
| Conjugate | Alexa Fluor 700 |
| Applications | Immunohistochemistry (Paraffin),Multiplex Immunohistochemistry |
| Form | Liquid |
| Gene Accession No. | P04637 |
| Isotype | IgG2b κ |
| Concentration | 0.2 mg/mL |
| Antigen | p53 |
| Gene Symbols | Tp53 |
| Regulatory Status | RUO |
| Purification Method | Protein A |
| Gene Alias | Antigen NY-CO-13; bbl; BCC7; bfy; bhy; cellular tumor antigen p53; Cys 51 Stop; EGK_08142; FLJ92943; HGNC11998; I79_002739; LFS1; Li-Fraumeni syndrome; mutant p53; mutant tumor protein 53; OTTMUSP00000006194; p44; p53; p53 cellular tumor antigen; p53 protein; p53 tumor suppressor; p53 tumor suppressor phosphoprotein; phosphoprotein p53; Tp53; tp53.L; transformation related protein 53; transformation-related protein 53; Trp248; Trp53; tumor protein 53; tumor protein p53; tumor protein p53 (Li-Fraumeni syndrome); tumor protein p53 L homeolog; tumor suppressor p53; tumor suppressor p53 phosphoprotein; tumor suppressor protein p53; tumor supressor p53; Tumour Protein p53; XELAEV_180196761mg; Xp53; Xrel3 |
| Gene | Tp53 |
| Product Type | Antibody |
| Gene ID (Entrez) | 7157 |
| Formulation | PBS with 0.5% BSA, 10% proprietary stabilizer and 0.05% sodium azide; pH 7.2 |
| Immunogen | Recombinant human wild-type p53 protein expressed in E. coli. |
| Classification | Monoclonal |
| Primary or Secondary | Primary |
| Clone | DO-7 |
Invitrogen™ Angiotensin I-VII Monoclonal Antibody (A4)
Greener Choice
Offers one or more environmental benefits itemized in the U.S. FTC Green Guides.
Learn More
Greener Choice
Offers one or more environmental benefits itemized in the U.S. FTC Green Guides.
Learn More
Offers one or more environmental benefits itemized in the U.S. FTC Green Guides.
Learn More
Mouse Monoclonal Antibody
| Content And Storage | Store at 4°C short term. For long term storage, store at -20°C, avoiding freeze/thaw cycles. |
|---|---|
| Target Species | Human,Rat |
| Host Species | Mouse |
| Conjugate | Unconjugated |
| Applications | Immunohistochemistry (Paraffin),Western Blot,Immunocytochemistry |
| Form | Liquid |
| Gene Accession No. | P01015, P01019, Q5EGZ1, Q9BYF1 |
| Isotype | IgG2a λ |
| Concentration | 1 mg/mL |
| Antigen | Angiotensin I-VII |
| Gene Symbols | ACE2, AGT |
| Regulatory Status | RUO |
| Purification Method | Protein A/G |
| Gene Alias | Angiotensin 1-7; Angiotensin I-VII |
| Gene | AGT |
| Product Type | Antibody |
| Gene ID (Entrez) | 183, 24179, 302668, 59272 |
| Formulation | PBS with 50% glycerol and 0.05% ProClin 300; pH 7.4 |
| Immunogen | OVA Conjugated Angiotensin 1-7 (Ang1-7) (Asp34-Pro40). |
| Classification | Monoclonal |
| Primary or Secondary | Primary |
| Clone | A4 |
Invitrogen™ Annexin A3 Monoclonal Antibody (2#)
Greener Choice
Offers one or more environmental benefits itemized in the U.S. FTC Green Guides.
Learn More
Greener Choice
Offers one or more environmental benefits itemized in the U.S. FTC Green Guides.
Learn More
Offers one or more environmental benefits itemized in the U.S. FTC Green Guides.
Learn More
Mouse Monoclonal Antibody
| Content And Storage | Store at 4°C short term. For long term storage, store at -20°C, avoiding freeze/thaw cycles. |
|---|---|
| Target Species | Human,Mouse,Rat |
| Host Species | Mouse |
| Conjugate | Unconjugated |
| Applications | Immunohistochemistry,Western Blot,Immunocytochemistry |
| Form | Liquid |
| Gene Accession No. | O35639, P12429, P14669 |
| Isotype | IgG2a κ |
| Concentration | 1 mg/mL |
| Antigen | Annexin A3 |
| Gene Symbols | ANXA3 |
| Regulatory Status | RUO |
| Purification Method | Protein A/G |
| Gene Alias | 35-alpha calcimedin; Annexin 3; annexin A3; Annexin III; Annexin III (Lipocortin III); annexin III (lipocortin III, 1,2-cyclic-inositol-phosphate phosphodiesterase, placental anticoagulant protein III, calcimedin 35-alpha); Annexin3; annexin-3; ANX3; ANXA 3; ANXA3; calcimedin 35-alpha; inositol 1,2-cyclic phosphate 2-phosphohydrolase; LC3; Lipocortin III; LRRGT00047; PAP-III; Placental anticoagulant protein III |
| Gene | ANXA3 |
| Product Type | Antibody |
| Gene ID (Entrez) | 11745, 25291, 306 |
| Formulation | PBS with 50% glycerol and 0.05% ProClin 300; pH 7.4 |
| Immunogen | Recombinant Annexin A3 (ANXA3) (Ala26-Ala160). |
| Classification | Monoclonal |
| Primary or Secondary | Primary |
| Clone | 2# |
Invitrogen™ CTLA-4 Monoclonal Antibody (D4)
Greener Choice
Offers one or more environmental benefits itemized in the U.S. FTC Green Guides.
Learn More
Greener Choice
Offers one or more environmental benefits itemized in the U.S. FTC Green Guides.
Learn More
Offers one or more environmental benefits itemized in the U.S. FTC Green Guides.
Learn More
Mouse Monoclonal Antibody
| Content And Storage | Store at 4°C short term. For long term storage, store at -20°C, avoiding freeze/thaw cycles. |
|---|---|
| Target Species | Human,Rat,Pig |
| Host Species | Mouse |
| Conjugate | Unconjugated |
| Applications | Immunohistochemistry (Paraffin),Western Blot,Immunocytochemistry |
| Form | Liquid |
| Gene Accession No. | P16410, Q9MYX7 |
| Isotype | IgG2b κ |
| Concentration | 1 mg/mL |
| Antigen | CTLA-4 |
| Gene Symbols | CTLA4 |
| Regulatory Status | RUO |
| Purification Method | Protein A/G |
| Gene Alias | ALPS5; CD; CD152; CD152 antigen; CD152 isoform; CD152 protein; CD152 protein precursor; celiac disease 3; CELIAC3; Ctla4; CTLA-4; cytotoxic T lymphocyte associated antigen 4 short spliced form; cytotoxic T-lymphocyte associated protein 4; cytotoxic T-lymphocyte protein 4; cytotoxic T-lymphocyte protein 4 isoform CTLA4-TM; cytotoxic T-lymphocyte-associated antigen 4; cytotoxic T-lymphocyte-associated protein 4; cytotoxic T-lymphocyte-associated serine esterase-4; EGK_04712; GRD4; GSE; ICOS; IDDM12; insulin-dependent diabetes mellitus 12; ligand and transmembrane spliced cytotoxic T lymphocyte associated antigen 4; Ly-56; sCTLA4; soluble form; transmembrane form |
| Gene | CTLA4 |
| Product Type | Antibody |
| Gene ID (Entrez) | 1493, 397286, 63835 |
| Formulation | PBS with 50% glycerol and 0.05% ProClin 300; pH 7.4 |
| Immunogen | Recombinant Cytotoxic T-Lymphocyte Associated Antigen 4 (CTLA4) (Gly52-Cys211). |
| Classification | Monoclonal |
| Primary or Secondary | Primary |
| Clone | D4 |
Invitrogen™ FABP3 Monoclonal Antibody (C5)
Greener Choice
Offers one or more environmental benefits itemized in the U.S. FTC Green Guides.
Learn More
Greener Choice
Offers one or more environmental benefits itemized in the U.S. FTC Green Guides.
Learn More
Offers one or more environmental benefits itemized in the U.S. FTC Green Guides.
Learn More
Mouse Monoclonal Antibody
| Content And Storage | Store at 4°C short term. For long term storage, store at -20°C, avoiding freeze/thaw cycles. |
|---|---|
| Target Species | Human,Rat,Pig |
| Host Species | Mouse |
| Conjugate | Unconjugated |
| Applications | Immunohistochemistry (Paraffin),Western Blot,Immunocytochemistry |
| Form | Liquid |
| Gene Accession No. | O02772, P05413, P07483 |
| Isotype | IgG1 κ |
| Concentration | 1 mg/mL |
| Antigen | FABP3 |
| Gene Symbols | FABP3 |
| Regulatory Status | RUO |
| Purification Method | Protein A/G |
| Gene Alias | 422 protein; Cardiac Fatty Acid Binding Protein; FABP 3; FABP11; Fabp3; Fabph1; Fabph-1; Fabph4; Fabph-4; fatty acid binding protein 11; Fatty acid binding protein 11 (FABP11); fatty acid binding protein 3; Fatty acid binding protein 3 heart; fatty acid binding protein 3, muscle and heart; Fatty acid binding protein heart; fatty acid binding protein heart 1; fatty acid binding protein heart 4; fatty acid-binding protein 3; Fatty acid-binding protein, heart; heart FABP; heart fatty acid binding protein; Heart type fatty acid binding protein; heart-type fatty acid-binding protein; H-FABP; M FABP; Mammary derived growth inhibitor; Mammary-derived growth inhibitor; MDGI; M-FABP; muscle and heart (mammary derived growth inhibitor); Muscle fatty acid binding protein; Muscle fatty acid-binding protein; Muscle O-FABP; Mylein protein P2 homolog / adopocyte; O-FABP |
| Gene | FABP3 |
| Product Type | Antibody |
| Gene ID (Entrez) | 2170, 399532, 79131 |
| Formulation | PBS with 50% glycerol and 0.05% ProClin 300; pH 7.4 |
| Immunogen | Recombinant Heart-type Fatty Acid Binding Protein (H-FABP) (Met1-Ala133). |
| Classification | Monoclonal |
| Primary or Secondary | Primary |
| Clone | C5 |
Invitrogen™ LKB1 Recombinant Rabbit Monoclonal Antibody (PSH09-29)
Greener Choice
Offers one or more environmental benefits itemized in the U.S. FTC Green Guides.
Learn More
Greener Choice
Offers one or more environmental benefits itemized in the U.S. FTC Green Guides.
Learn More
Offers one or more environmental benefits itemized in the U.S. FTC Green Guides.
Learn More
Rabbit Recombinant Monoclonal Antibody
| Content And Storage | Store at 4°C short term. For long term storage, store at -20°C, avoiding freeze/thaw cycles. |
|---|---|
| Target Species | Human,Mouse,Rat |
| Host Species | Rabbit |
| Conjugate | Unconjugated |
| Applications | Immunohistochemistry (Paraffin),Immunoprecipitation,Western Blot |
| Form | Liquid |
| Gene Accession No. | D4AE59, Q15831, Q9WTK7 |
| Isotype | IgG |
| Concentration | 1 mg/mL |
| Antigen | LKB1 |
| Gene Symbols | STK11 |
| Regulatory Status | RUO |
| Purification Method | Protein A |
| Gene Alias | AA408040; CAMK group; CAMKL family; hLKB1; liver kinase B1; Liver kinase B1 homolog; LKB 1; LKB1; LKB-1; LKB1(S); Par-4; PJS; polarization-related protein LKB1; R75140; renal carcinoma antigen NY-REN-19; serine/threonine kinase 11; serine/threonine-protein kinase 11; serine/threonine-protein kinase LKB1; serine/threonine-protein kinase STK11; STK11 |
| Gene | STK11 |
| Product Type | Antibody |
| Gene ID (Entrez) | 20869, 314621, 6794 |
| Formulation | PBS with 0.1% BSA, 40% glycerol and 0.05% sodium azide; pH 7.4 |
| Immunogen | Recombinant protein within human LKB1 aa 1-400. |
| Classification | Recombinant Monoclonal |
| Primary or Secondary | Primary |
| Clone | PSH09-29 |
Invitrogen™ THSD7A Polyclonal Antibody
Greener Choice
Offers one or more environmental benefits itemized in the U.S. FTC Green Guides.
Learn More
Greener Choice
Offers one or more environmental benefits itemized in the U.S. FTC Green Guides.
Learn More
Offers one or more environmental benefits itemized in the U.S. FTC Green Guides.
Learn More
Rabbit Polyclonal Antibody
| Content And Storage | Store at 4°C short term. For long term storage, store at -20°C, avoiding freeze/thaw cycles. |
|---|---|
| Target Species | Human,Mouse,Rat |
| Host Species | Rabbit |
| Conjugate | Unconjugated |
| Applications | Western Blot |
| Form | Liquid |
| Gene Accession No. | Q69ZU6, Q9UPZ6 |
| Concentration | 0.5 mg/mL |
| Antigen | THSD7A |
| Gene Symbols | THSD7A |
| Regulatory Status | RUO |
| Purification Method | Protein A/G |
| Gene Alias | KIAA0960; thrombospondin type 1 domain containing 7A; thrombospondin type-1 domain-containing protein 7A; Thrombospondin type-1 domain-containing protein 7A, soluble form; thrombospondin, type I, domain containing 7A; THSD7A |
| Gene | THSD7A |
| Product Type | Antibody |
| Gene ID (Entrez) | 221981, 330267, 500032 |
| Formulation | PBS with 50% glycerol and 0.05% ProClin 300; pH 7.4 |
| Immunogen | Recombinant Thrombospondin Type I Domain Containing Protein 7A (THSD7A) (Thr42-Tyr242). |
| Classification | Polyclonal |
| Primary or Secondary | Primary |
Invitrogen™ MYPN Polyclonal Antibody
Greener Choice
Offers one or more environmental benefits itemized in the U.S. FTC Green Guides.
Learn More
Greener Choice
Offers one or more environmental benefits itemized in the U.S. FTC Green Guides.
Learn More
Offers one or more environmental benefits itemized in the U.S. FTC Green Guides.
Learn More
Rabbit Polyclonal Antibody
| Content And Storage | Store at 4°C short term. For long term storage, store at -20°C, avoiding freeze/thaw cycles. |
|---|---|
| Target Species | Human,Mouse,Rat,Pig |
| Host Species | Rabbit |
| Conjugate | Unconjugated |
| Applications | Immunohistochemistry,Western Blot,Immunocytochemistry |
| Form | Liquid |
| Gene Accession No. | Q5DTJ9, Q86TC9 |
| Concentration | 0.5 mg/mL |
| Antigen | MYPN |
| Gene Symbols | MYPN |
| Regulatory Status | RUO |
| Purification Method | Protein A |
| Gene Alias | 1110056A04Rik; 145 kDa sarcomeric protein; 9830112J03; AI853556; CMD1DD; CMH22; Kiaa4170; mKIAA4170; MYOP; Myopalladin; MYPN; RCM4; sarcomeric protein myopalladin, 145 kDa (MYOP); wu:fc17a02 |
| Gene | MYPN |
| Product Type | Antibody |
| Gene ID (Entrez) | 100624901, 309760, 68802, 84665 |
| Formulation | PBS with 50% glycerol and 0.05% ProClin 300; pH 7.4 |
| Immunogen | Recombinant Myopalladin (MYPN) (Pro945-Leu1320). |
| Classification | Polyclonal |
| Primary or Secondary | Primary |
Invitrogen™ UPK2 Polyclonal Antibody
Greener Choice
Offers one or more environmental benefits itemized in the U.S. FTC Green Guides.
Learn More
Greener Choice
Offers one or more environmental benefits itemized in the U.S. FTC Green Guides.
Learn More
Offers one or more environmental benefits itemized in the U.S. FTC Green Guides.
Learn More
Rabbit Polyclonal Antibody
| Content And Storage | Store at 4°C short term. For long term storage, store at -20°C, avoiding freeze/thaw cycles. |
|---|---|
| Target Species | Human,Rat |
| Host Species | Rabbit |
| Conjugate | Unconjugated |
| Applications | Immunohistochemistry (Paraffin),Western Blot |
| Form | Liquid |
| Gene Accession No. | O00526 |
| Isotype | IgG |
| Concentration | 0.5 mg/mL |
| Antigen | UPK2 |
| Gene Symbols | UPK2 |
| Regulatory Status | RUO |
| Purification Method | Protein A |
| Gene Alias | AW491716; UP2; UPII; UPK2; uroplakin 2; uroplakin II; Uroplakin-2 |
| Gene | UPK2 |
| Product Type | Antibody |
| Gene ID (Entrez) | 689093, 7379 |
| Formulation | PBS with 50% glycerol and 0.05% ProClin 300; pH 7.4 |
| Immunogen | Recombinant Uroplakin 2 (UPK2) (Asp26-Thr153). |
| Classification | Polyclonal |
| Primary or Secondary | Primary |
Invitrogen™ PTPRB Polyclonal Antibody
Greener Choice
Offers one or more environmental benefits itemized in the U.S. FTC Green Guides.
Learn More
Greener Choice
Offers one or more environmental benefits itemized in the U.S. FTC Green Guides.
Learn More
Offers one or more environmental benefits itemized in the U.S. FTC Green Guides.
Learn More
Rabbit Polyclonal Antibody
| Content And Storage | Store at 4°C short term. For long term storage, store at -20°C, avoiding freeze/thaw cycles. |
|---|---|
| Target Species | Human |
| Host Species | Rabbit |
| Conjugate | Unconjugated |
| Applications | Immunohistochemistry (Paraffin),Western Blot |
| Form | Liquid |
| Gene Accession No. | P23467 |
| Concentration | 0.5 mg/mL |
| Antigen | PTPRB |
| Gene Symbols | PTPRB |
| Regulatory Status | RUO |
| Purification Method | Protein A |
| Gene Alias | 3230402H02Rik; C130094E24; HPTPB; HPTP-BETA; protein tyrosine phosphatase, receptor type B; protein tyrosine phosphatase, receptor type, B; protein tyrosine phosphatase, receptor type, beta polypeptide; protein-tyrosine phosphatase beta; PTPB; Ptprb; Ptpz; receptor-type tyrosine-protein phosphatase beta; Rptpb; R-PTP-BETA; vascular endothelial protein tyrosine phosphatase; VEPTP; VE-PTP |
| Gene | PTPRB |
| Product Type | Antibody |
| Gene ID (Entrez) | 5787 |
| Formulation | PBS with 50% glycerol and 0.05% ProClin 300; pH 7.4 |
| Immunogen | Recombinant Protein Tyrosine Phosphatase Receptor Type B (PTPRB) (Ala1655-Asp1918). |
| Classification | Polyclonal |
| Primary or Secondary | Primary |
Invitrogen™ CD3d Monoclonal Antibody (C6)
Greener Choice
Offers one or more environmental benefits itemized in the U.S. FTC Green Guides.
Learn More
Greener Choice
Offers one or more environmental benefits itemized in the U.S. FTC Green Guides.
Learn More
Offers one or more environmental benefits itemized in the U.S. FTC Green Guides.
Learn More
Mouse Monoclonal Antibody
| Content And Storage | Store at 4°C short term. For long term storage, store at -20°C, avoiding freeze/thaw cycles. |
|---|---|
| Target Species | Human,Pig |
| Host Species | Mouse |
| Conjugate | Unconjugated |
| Applications | Immunohistochemistry (Paraffin),Western Blot |
| Form | Liquid |
| Gene Accession No. | P04234, Q764N2 |
| Isotype | IgG2b κ |
| Concentration | 1 mg/mL |
| Antigen | CD3d |
| Gene Symbols | Cd3d |
| Regulatory Status | RUO |
| Purification Method | Affinity chromatography |
| Gene Alias | CD3 antigen delta polypeptide; CD3 antigen, delta polypeptide; CD3 antigen, delta subunit; CD3 delta; CD3 molecule delta polypeptide; CD3 molecule, delta; CD3D; CD3d antigen, delta polypeptide (TiT3 complex); CD3d molecule; CD3d molecule, delta (CD3-TCR complex); CD3-DELTA; IMD19; OKT3, delta chain; T3D; T-cell receptor T3 delta chain; T-cell surface glycoprotein CD3 delta chain |
| Gene | Cd3d |
| Product Type | Antibody |
| Gene ID (Entrez) | 396661, 915 |
| Formulation | PBS with 50% glycerol and 0.05% ProClin 300; pH 7.4 |
| Immunogen | Recombinant Cluster Of Differentiation 3d (CD3d) (Gln18-Ile113). |
| Classification | Monoclonal |
| Primary or Secondary | Primary |
| Clone | C6 |
Invitrogen™ FLT3LG Polyclonal Antibody
Greener Choice
Offers one or more environmental benefits itemized in the U.S. FTC Green Guides.
Learn More
Greener Choice
Offers one or more environmental benefits itemized in the U.S. FTC Green Guides.
Learn More
Offers one or more environmental benefits itemized in the U.S. FTC Green Guides.
Learn More
Rabbit Polyclonal Antibody
| Content And Storage | Store at 4°C short term. For long term storage, store at -20°C, avoiding freeze/thaw cycles. |
|---|---|
| Target Species | Mouse,Rat |
| Host Species | Rabbit |
| Conjugate | Unconjugated |
| Applications | Immunohistochemistry (Paraffin),Western Blot,Immunocytochemistry |
| Form | Liquid |
| Gene Accession No. | P49772 |
| Concentration | 0.5 mg/mL |
| Antigen | FLT3LG |
| Gene Symbols | Flt3l, FLT3LG |
| Regulatory Status | RUO |
| Purification Method | Protein A |
| Gene Alias | FL; Flt 3 ligand; Flt3; Flt3 L; Flt3 ligand; Flt3l; Flt3lg; fms related receptor tyrosine kinase 3 ligand; fms related tyrosine kinase 3 ligand; FMS-like tyrosine kinase 3 ligand; fms-related tyrosine kinase 3; fms-related tyrosine kinase 3 ligand; H-FLT-3-L; Ly72L; M-FLT-3-L; NEWGENE_2322792; SL cytokine |
| Gene | Flt3l |
| Product Type | Antibody |
| Gene ID (Entrez) | 103691134, 14256 |
| Formulation | PBS with 50% glycerol and 0.05% ProClin 300; pH 7.4 |
| Immunogen | Recombinant FMS Like Tyrosine Kinase 3 Ligand (Flt3L) (Gly27-Gln189). |
| Classification | Polyclonal |
| Primary or Secondary | Primary |
Invitrogen™ PTPRM Polyclonal Antibody
Greener Choice
Offers one or more environmental benefits itemized in the U.S. FTC Green Guides.
Learn More
Greener Choice
Offers one or more environmental benefits itemized in the U.S. FTC Green Guides.
Learn More
Offers one or more environmental benefits itemized in the U.S. FTC Green Guides.
Learn More
Rabbit Polyclonal Antibody
| Content And Storage | Store at 4°C short term. For long term storage, store at -20°C, avoiding freeze/thaw cycles. |
|---|---|
| Target Species | Human,Mouse,Pig |
| Host Species | Rabbit |
| Conjugate | Unconjugated |
| Applications | Immunohistochemistry (Paraffin),Western Blot,Immunocytochemistry |
| Form | Liquid |
| Gene Accession No. | P28827, P28828 |
| Concentration | 0.5 mg/mL |
| Antigen | PTPRM |
| Gene Symbols | PTPRM |
| Regulatory Status | RUO |
| Purification Method | Protein A |
| Gene Alias | hR-PTPu; Kiaa4044; MGC166994; mKIAA4044; protein tyrosine phosphatase mu; protein tyrosine phosphatase receptor type M; protein tyrosine phosphatase receptor-type M; protein tyrosine phosphatase, receptor type M; protein tyrosine phosphatase, receptor type, M; protein tyrosine phosphatase, receptor type, mu polypeptide; protein tyrosine phosphatase, receptor-type, M; protein-tyrosine phosphatase mu; PTP mu; Ptpmu; PTPRL1; PTPRM; receptor-type tyrosine-protein phosphatase mu; RPTPM; RPTPmu; R-PTP-MU; RPTPU |
| Gene | PTPRM |
| Product Type | Antibody |
| Gene ID (Entrez) | 100624854, 19274, 5797 |
| Formulation | PBS with 50% glycerol and 0.05% ProClin 300; pH 7.4 |
| Immunogen | Recombinant Protein Tyrosine Phosphatase Receptor Type M (PTPRM) (Thr1197-Ser1403). |
| Classification | Polyclonal |
| Primary or Secondary | Primary |
Invitrogen™ Selenoprotein W Polyclonal Antibody
Greener Choice
Offers one or more environmental benefits itemized in the U.S. FTC Green Guides.
Learn More
Greener Choice
Offers one or more environmental benefits itemized in the U.S. FTC Green Guides.
Learn More
Offers one or more environmental benefits itemized in the U.S. FTC Green Guides.
Learn More
Rabbit Polyclonal Antibody
| Content And Storage | Store at 4°C short term. For long term storage, store at -20°C, avoiding freeze/thaw cycles. |
|---|---|
| Target Species | Human |
| Host Species | Rabbit |
| Conjugate | Unconjugated |
| Applications | Immunohistochemistry,Western Blot,Immunocytochemistry |
| Form | Liquid |
| Gene Accession No. | P63302 |
| Concentration | 0.5 mg/mL |
| Antigen | Selenoprotein W |
| Gene Symbols | SELENOW |
| Regulatory Status | RUO |
| Purification Method | Protein A |
| Gene Alias | Selenoprotein W; selenoprotein W, 1; selenoprotein W, muscle 1; Selenow; SelW; Sepw1 |
| Gene | SELENOW |
| Product Type | Antibody |
| Gene ID (Entrez) | 6415 |
| Formulation | PBS with 50% glycerol and 0.05% ProClin 300; pH 7.4 |
| Immunogen | Recombinant Selenoprotein W1 (SEPW1) (Met1-Gly87). |
| Classification | Polyclonal |
| Primary or Secondary | Primary |
Invitrogen™ LOXL3 Polyclonal Antibody
Greener Choice
Offers one or more environmental benefits itemized in the U.S. FTC Green Guides.
Learn More
Greener Choice
Offers one or more environmental benefits itemized in the U.S. FTC Green Guides.
Learn More
Offers one or more environmental benefits itemized in the U.S. FTC Green Guides.
Learn More
Rabbit Polyclonal Antibody
| Content And Storage | Store at 4°C short term. For long term storage, store at -20°C, avoiding freeze/thaw cycles. |
|---|---|
| Target Species | Mouse |
| Host Species | Rabbit |
| Conjugate | Unconjugated |
| Applications | Immunohistochemistry (Paraffin),Western Blot,Immunocytochemistry |
| Form | Liquid |
| Gene Accession No. | Q9Z175 |
| Concentration | 0.5 mg/mL |
| Antigen | LOXL3 |
| Gene Symbols | LOXL3 |
| Regulatory Status | RUO |
| Purification Method | Protein A |
| Gene Alias | Lor2; LOW QUALITY PROTEIN: lysyl oxidase homolog 3; LOXL; Loxl2; Loxl3; Lysyl oxidase homolog 3; lysyl oxidase like 3; lysyl oxidase-like 2; lysyl oxidase-like 3; lysyl oxidase-like protein 3; Lysyl oxidase-related protein 2 |
| Gene | LOXL3 |
| Product Type | Antibody |
| Gene ID (Entrez) | 16950 |
| Formulation | PBS with 50% glycerol and 0.05% ProClin 300; pH 7.4 |
| Immunogen | Recombinant Lysyl Oxidase Like Protein 3 (LOXL3) (His509-Met712). |
| Classification | Polyclonal |
| Primary or Secondary | Primary |