missing translation for 'onlineSavingsMsg'
Learn More
Learn More
Invitrogen™ UNK Polyclonal Antibody

Rabbit Polyclonal Antibody
Supplier: Invitrogen™ PA554855
Description
Immunogen sequence: DAWKKEAEEA GERASAAGAE CELAREQRDA LEVQVKKLQE ELERLHAGPE PQALPAFSDL EALSLSTLYS LQKQLRAHLE QVDKAVFHMQ SVKCLKCQEQ KRAVL Highest antigen sequence identity to the following orthologs: Mouse - 90%, Rat - 89%.
Sequence-specific RNA-binding protein which plays an important role in the establishment and maintenance of the early morphology of cortical neurons during embryonic development. Acts as a translation repressor and controls a translationally regulated cell morphology program to ensure proper structuring of the nervous system. Translational control depends on recognition of its binding element within target mRNAs which consists of a mandatory UAG trimer upstream of a U/A-rich motif. Associated with polysomes (PubMed:25737280). [UniProt].Identifiants chimiques
| UNK | |
| Store at 4°C short term. For long term storage, store at -20°C, avoiding freeze/thaw cycles. | |
| Polyclonal | |
| Liquid | |
| IgG | |
| Human | |
| UNK | |
| B230379M23Rik; KIAA1753; mKIAA1753; RING finger protein unkempt homolog; UNK; UNKEMPT; unkempt family zinc finger; unkempt homolog; unkempt homolog (Drosophila); Zc3h5; ZC3HDC5; Zinc finger CCCH domain-containing protein 5; zinc finger CCCH type containing 5; zinc finger CCCH type domain containing 5; zinc finger CCCH-type containing 5; zinc finger CCCH-type domain containing 5 | |
| UNK | |
| Primary | |
| Antigen affinity chromatography |
| 0.3 mg/mL | |
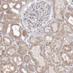
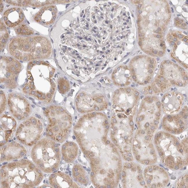
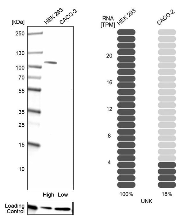
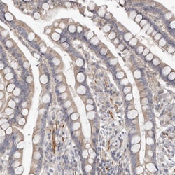
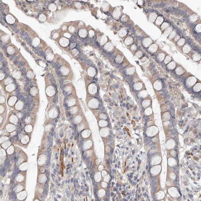
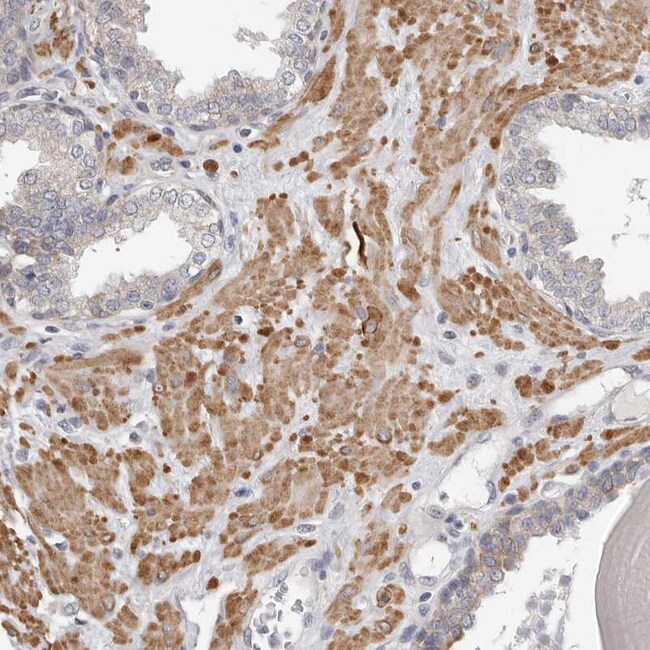
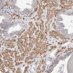
| Immunohistochemistry (Paraffin), Western Blot | |
| Unconjugated | |
| Rabbit | |
| RUO | |
| PBS with 40% glycerol and 0.02% sodium azide; pH 7.2 | |
| Q9C0B0 | |
| 85451 | |
| Recombinant protein corresponding to Human UNK. Recombinant protein control fragment (Product #RP-93267). | |
| Antibody |
Spécifications
| UNK | |
| Polyclonal | |
| Unconjugated | |
| UNK | |
| B230379M23Rik; KIAA1753; mKIAA1753; RING finger protein unkempt homolog; UNK; UNKEMPT; unkempt family zinc finger; unkempt homolog; unkempt homolog (Drosophila); Zc3h5; ZC3HDC5; Zinc finger CCCH domain-containing protein 5; zinc finger CCCH type containing 5; zinc finger CCCH type domain containing 5; zinc finger CCCH-type containing 5; zinc finger CCCH-type domain containing 5 | |
| Rabbit | |
| Antigen affinity chromatography | |
| RUO | |
| 85451 | |
| Store at 4°C short term. For long term storage, store at -20°C, avoiding freeze/thaw cycles. | |
| Liquid |
| Immunohistochemistry (Paraffin), Western Blot | |
| 0.3 mg/mL | |
| PBS with 40% glycerol and 0.02% sodium azide; pH 7.2 | |
| Q9C0B0 | |
| UNK | |
| Recombinant protein corresponding to Human UNK. Recombinant protein control fragment (Product #RP-93267). | |
| 100 μL | |
| Primary | |
| Human | |
| Antibody | |
| IgG |