missing translation for 'onlineSavingsMsg'
Learn More
Learn More
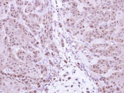
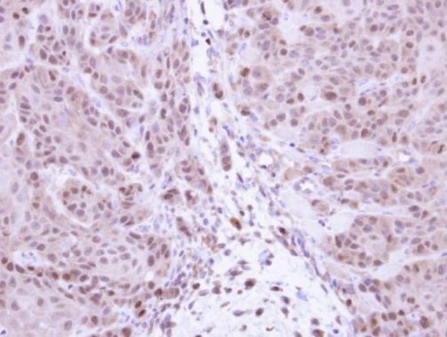
Invitrogen™ NFkB p105 Polyclonal Antibody

Description
Keep as concentrated solution. Predicted reactivity: Mouse (91%), Rat (90%), Dog (94%), Pig (93%), Rhesus Monkey (99%), Bovine (92%). Positive Control: HeLa, A431. Store product as a concentrated solution. Centrifuge briefly prior to opening the vial.
NF-kB is a nuclear transcription factor activated by various extra and intracellular stimuli such as cytokines, UV radiation, stress, in injury, and by bacterial and viral products. It is involved in regulation of various cellular events including cell growth, differentiation, proliferation, apoptosis and inflammation. NFKB1 (p50), a 50KDa functional sub-unit of NF-kB, is a member of Rel protein family. It is synthesized as a p105 precursor protein and consists of an N-terminal conserved RHD-region containing nuclear localization signal, DNA-binding and dimerization domains. NFKB1 (p50) forms homodimers or heterodimerizes with p65, forming the functional NF-kB factor. NFKB1 (p50) directs the nuclear translocation of NF-kB and is instrumental in its DNA-bidning. Pathological role of NF-kB has been suggested in AIDS, hematogenic cancer cell metastasis and rheumatoid arthritis.
Spécifications
Spécifications
| Antigen | NFkB p105 |
| Applications | ChIP Assay, Immunohistochemistry (Paraffin), Western Blot, Immunocytochemistry |
| Classification | Polyclonal |
| Concentration | 1 mg/mL |
| Conjugate | Unconjugated |
| Formulation | 0.1M tris glycine with 10% glycerol and 0.01% thimerosal; pH 7 |
| Gene | NFKB1 |
| Gene Accession No. | P19838, P25799 |
| Gene Alias | CVID12; DNA-binding factor KBF1; EBP-1; KBF1; NF kappaB1; NF KB; NFkappaB; NF-kappaB; NF-kappa-B; NF-kappaB p50; NF-kappaB1; NF-kappa-B1 p84/NF-kappa-B1 p98; NF-kappabeta; NF-kB; NF-kB p105; Nfkb1; NF-KB1; NFKB-p105; NFKB-p50; nuclear factor; nuclear factor kappa b; nuclear factor kappa B subunit 1; nuclear factor kappa-B 1; nuclear factor kappa-B DNA binding subunit; nuclear factor kappaB p50; nuclear factor NF-kappa-B p105 subunit; nuclear factor NF-kappa-B p105 subunit-like protein; nuclear factor NF-kappa-B p50 subunit; nuclear factor of kappa light chain gene enhancer in B-cells 1, p105; nuclear factor of kappa light polypeptide enhancer in B-cells 1; nuclear factor of kappa light polypeptide gene enhancer in B cells 1, p105; nuclear factor of kappa light polypeptide gene enhancer in B-cells 1; nuclear factor of kappa light polypeptide gene enhancer in B-cells 1 (p105); nuclear factor of kappa light polypeptide gene enhancer in B-cells 1, p105; nuclear factor-kappaB p50; p105; p50; p50 subunit of NF kappaB; p50 subunit of NF-kappaB; p50/p105; RHD of nuclear factor NF-kappa-B p105 subunit |
| Gene Symbols | NFKB1 |
| Afficher plus de résultats |