missing translation for 'onlineSavingsMsg'
Learn More
Learn More
Invitrogen™ PHD3 Polyclonal Antibody

Description
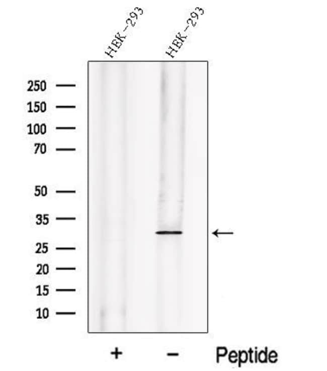
Antibody detects endogenous levels of total PHD3.
Cellular oxygen sensor that catalyzes, under normoxic conditions, the post-translational formation of 4-hydroxyproline in hypoxia-inducible factor (HIF) alpha proteins. Hydroxylates a specific proline found in each of the oxygen-dependent degradation (ODD) domains (N-terminal, NODD, and C-terminal, CODD) of HIF1A. Also hydroxylates HIF2A. Has a preference for the CODD site for both HIF1A and HIF2A. Hydroxylation on the NODD site by EGLN3 appears to require prior hydroxylation on the CODD site. Hydroxylated HIFs are then targeted for proteasomal degradation via the von Hippel-Lindau ubiquitination complex. Under hypoxic conditions, the hydroxylation reaction is attenuated allowing HIFs to escape degradation resulting in their translocation to the nucleus, heterodimerization with HIF1B, and increased expression of hypoxy-inducible genes. EGLN3 is the most important isozyme in limiting physiological activation of HIFs (particularly HIF2A) in hypoxia. Also hydroxylates PKM in hypoxia, limiting glycolysis. Under normoxia, hydroxylates and regulates the stability of ADRB2. Regulator of cardiomyocyte and neuronal apoptosis. In cardiomyocytes, inhibits the anti-apoptotic effect of BCL2 by disrupting the BAX-BCL2 complex. In neurons, has a NGF-induced proapoptotic effect, probably through regulating CASP3 activity. Also essential for hypoxic regulation of neutrophilic inflammation. Plays a crucial role in DNA damage response (DDR) by hydroxylating TELO2, promoting its interaction with ATR which is required for activation of the ATR/CHK1/p53 pathway. Target proteins are preferentially recognized via a LXXLAP motif.
Spécifications
Spécifications
| Antigen | PHD3 |
| Applications | Western Blot, Immunocytochemistry |
| Classification | Polyclonal |
| Concentration | 1 mg/mL |
| Conjugate | Unconjugated |
| Formulation | PBS with 50% glycerol and 0.02% sodium azide; pH 7.4 |
| Gene | EGLN3 |
| Gene Accession No. | Q91UZ4, Q9H6Z9 |
| Gene Alias | 2610021G09Rik; AI505553; AI648162; Egl nine homolog 3; egl nine homolog 3, mitochondrial; egl nine-like protein 3 isoform; egl-9 family hypoxia inducible factor 3; egl-9 family hypoxia-inducible factor 3; EGLN3; factor-responsive smooth muscle protein; FLJ21620; HIF prolyl hydroxylase 3; HIFP4H3; Hif-p4h-3; HIFPH3; HIF-PH3; HIF-prolyl hydroxylase 3; HPH-1; HPH-3; hypoxia-inducible factor prolyl hydroxylase 3; MGC125998; MGC125999; P4H3; Phd3; PHD-3; prolyl hydroxylase domain-containing protein 3; Sm20; SM-20 |
| Gene Symbols | EGLN3 |
| Afficher plus de résultats |