missing translation for 'onlineSavingsMsg'
Learn More

Invitrogen™ TRPML1 Recombinant Rabbit Monoclonal Antibody (PSH09-01)

Rabbit Recombinant Monoclonal Antibody

Supplier:  Invitrogen™ MA562892

Catalog No. MA562892


Only null left
Explore available promotions

Description

Description

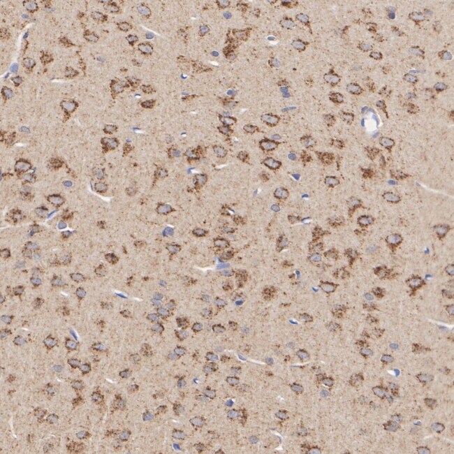
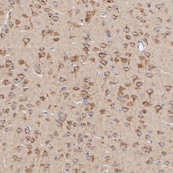
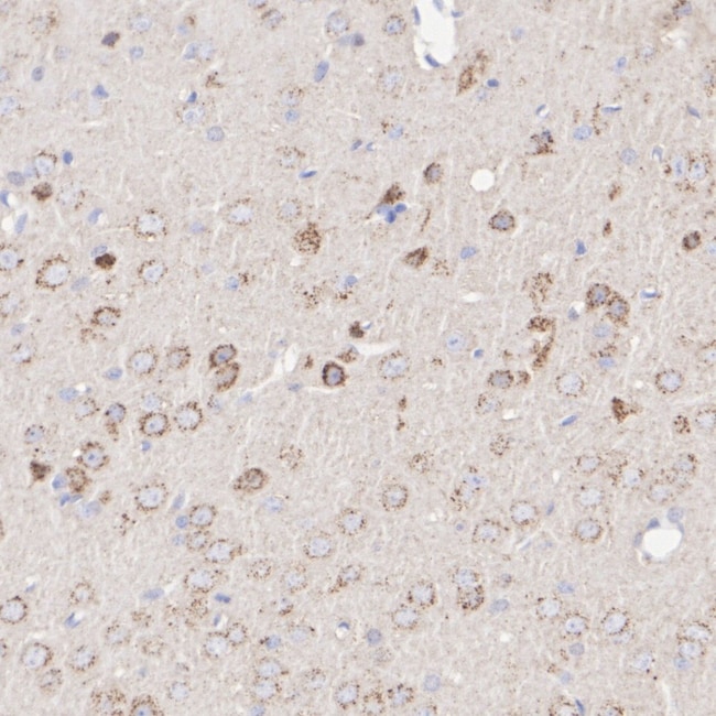
Positive Control: SK-MEL-28 cell lysate, NCI-H226 cell lysate, TT cell lysate, Mouse brain tissue lysate, Rat brain tissue lysate, human brain tissue, mouse brain tissue, rat brain tissue.Tissue Specificity: Low tissue specificitySubcellular Location: Late endosome membrane, Lysosome membrane, Cytoplasmic vesicle membrane, Cell projection, phagocytic cup, Cytoplasmic vesicle, phagosome membrane, Cell membrane.Sequence Similarities: 89.1% MousePredicted band size: 65 kDa.

Defects in Mucolipin-1 are the cause of mucolipidosis type IV (MLIV), also known as sialolipidosis. MLIV is an autosomal recessive lysosomal storage disorder characterized by severe psychomotor retardation and ophthalmologic abnormalities, including corneal opacity, retinal degeneration and strabismus. Storage bodies of lipids and water-soluble substances are seen by electron microscopy in almost every cell type of the patients. Most patients are unable to speak or walk independently and reach a maximal developmental level of 1-2 years. All patients have constitutive achlorhydia associated with a secondary elevation of serum gastrin levels.
Specifications

Specifications

TRPML1
Recombinant Monoclonal
1 mg/mL
PBS with 0.1% BSA, 40% glycerol and 0.05% sodium azide; pH 7.4
Q99J21, Q9GZU1
MCOLN1
Recombinant protein within human Mucolipin-1 aa 66-321.
100 μL
Primary
Human, Mouse, Rat
Antibody
IgG
Immunohistochemistry (Paraffin), Western Blot
PSH09-01
Unconjugated
MCOLN1
2210015I05Rik; MCLN1; Mcoln1; MCOLN1 mucolipin 1; MG-2; MGC7172; ML1; ML4; MLIV; MST080; MSTP080; Mucolipidin; mucolipidosis type IV protein; mucolipin 1; mucolipin-1; Transient receptor potential channel mucolipin 1; Transient receptor potential-mucolipin 1; TRPML1; TRP-ML1; TRPM-L1
Rabbit
Protein A
RUO
288371, 57192, 94178
Store at 4°C short term. For long term storage, store at -20°C, avoiding freeze/thaw cycles.
Liquid
Product Suggestions

Product Suggestions

Videos
SDS
Documents

Documents

Promotions

Promotions