missing translation for 'onlineSavingsMsg'
Learn More
Learn More
Invitrogen™ TMSB4X Polyclonal Antibody

Rabbit Polyclonal Antibody
Supplier: Invitrogen™ PA5150091
Description
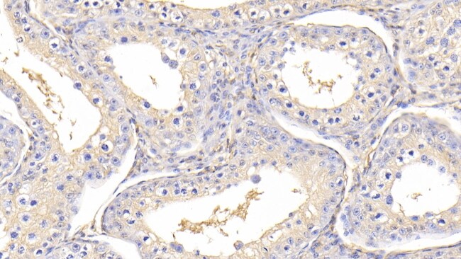
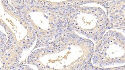
TMSB4X Polyclonal Antibody for Western Blot, ICC/IF, IHC (P)
Thymosin-beta4 is a small, actin-sequestering protein belonging to the thymosin-beta family that is found at high concentrations within the spleen, thymus, and peritoneal macrophages, where it is most notably responsible for the organization of cytoskeletal structure. In mammalian tissues, this protein acts as a modulator for the polymerization/depolymerization of actin through the formation of a 1:1 complex with the monomer G (globular)-actin, and inhibits actin's polymerization to form F (filamentous) actin, which together with other proteins binds microfilaments to construct the cytoskeleton. Commonly found at significant quantities within the brain, lungs, liver, kidneys, testes, and heart, thymosin-beta4 has also been shown to be synthesized by cells unrelated to the reticuloendothelial system, such as myoblasts and fibroblasts, and expressed at irregular levels by several hemopoietic cell lines, malignant lymphoid cells and myeloma cells. In addition to regulating actin polymerization, research has also found thymosin-beta4 to stimulate the secretion of hypothalamic luteinizing hormone-releasing hormone and luteinizing hormone, inhibit the migration of peritoneal macrophages, induce phenotypic changes in T cell lines during early host defense mechanisms, and inhibit the progression of hematopoietic pluripotent stem cells into the S-phase.Chemical Identifiers
| TMSB4X | |
| Store at 4°C short term. For long term storage, store at -20°C, avoiding freeze/thaw cycles. | |
| Polyclonal | |
| Liquid | |
| RUO | |
| PBS with 50% glycerol and 0.05% ProClin 300; pH 7.4 | |
| P62326, P62328 | |
| 282386, 7114 | |
| Recombinant Thymosin Beta 4 (TMSB4X) (Met1-Ser44). | |
| Antibody |
| 0.5 mg/mL | |
| Immunohistochemistry (Paraffin), Western Blot, Immunocytochemistry | |
| Unconjugated | |
| Rabbit | |
| Human, Bovine | |
| TMSB4X | |
| Fx; Hematopoietic system regulatory peptide; prothymosin beta 4; prothymosin beta-4; Ptmb4; Seraspenide; T beta 4; t beta-4; Tb4; TB4X; TB4Xbeta 4; Thyb4; thymosin; thymosin beta 4; thymosin beta 4, X-linked; thymosin beta-4; thymosin, beta 4, X chromosome; Tmsb4; Tmsb4x | |
| TMSB4X | |
| Primary | |
| Protein A |
Specifications
| TMSB4X | |
| Polyclonal | |
| Unconjugated | |
| TMSB4X | |
| Fx; Hematopoietic system regulatory peptide; prothymosin beta 4; prothymosin beta-4; Ptmb4; Seraspenide; T beta 4; t beta-4; Tb4; TB4X; TB4Xbeta 4; Thyb4; thymosin; thymosin beta 4; thymosin beta 4, X-linked; thymosin beta-4; thymosin, beta 4, X chromosome; Tmsb4; Tmsb4x | |
| Rabbit | |
| Protein A | |
| RUO | |
| 282386, 7114 | |
| Store at 4°C short term. For long term storage, store at -20°C, avoiding freeze/thaw cycles. | |
| Liquid |
| Immunohistochemistry (Paraffin), Western Blot, Immunocytochemistry | |
| 0.5 mg/mL | |
| PBS with 50% glycerol and 0.05% ProClin 300; pH 7.4 | |
| P62326, P62328 | |
| TMSB4X | |
| Recombinant Thymosin Beta 4 (TMSB4X) (Met1-Ser44). | |
| 200 μL | |
| Primary | |
| Human, Bovine | |
| Antibody |