missing translation for 'onlineSavingsMsg'
Learn More

Invitrogen™ TGF beta-1 Polyclonal Antibody, Invitrogen™

Rabbit Polyclonal Antibody

Supplier:  Invitrogen™ PA5145251

 View more versions of this product

Catalog No. FEPA5145251

Only null left
Explore available promotions

Description

Description

TGF beta-1 (TGFB1, Transforming Growth Factor Beta 1) is a polypeptide member of the transforming growth factor beta superfamily of cytokines, found almost ubiquitously in tissues. Transforming growth factor (TGF)-b is stored in the extracellular matrix as a latent complex with its pro-domain. Activation of TGF beta-1 requires the binding of aV integrin to an RGD sequence in the prodomain and exertion of force on this domain, which is held in the extracellular matrix by latent TGF-b binding proteins. Latent forms are complexes of TGF beta-1, an amino-terminal portion of the TGF-beta precursor, designated TGF-LAP (TGF-latency associated peptide), and a specific binding protein, known as LTBP. TGF beta-1 helps regulates proliferation, differentiation, adhesion, migration in many cell types. Many cells have TGF beta receptors, and the protein positively and negatively regulates many other growth factors. TGF beta-1 is cleaved into a latency-associated peptide and a mature TGF beta-1 peptide, and is found in either a latent form composed of a TGFB1 homodimer, a LAP homodimer, and a latent TGFB1-binding protein, or in an active form composed of a TGF beta-1 homodimer. The mature peptide may also form heterodimers with other TGF beta family members. The gene for TGF beta-1 is frequently upregulated in tumor cells, and mutations in this gene result in Camurati-Engelmann disease and cystic fibrosis.
Specifications

Specifications

TGF beta-1
Polyclonal
Unconjugated
Tgfb1
CED; cytokine; DPD1; LAP; Latency-associated peptide; prepro-transforming growth factor beta-1; regulatory protein; TGF b; TGF b 1; TGF beta; tgf beta 1; tgf beta1; TGF beta-1; TGF beta-1 protein; TGF ß; TGF ß 1; TGF ß1; Tgfb; TGFB1; TGF-B1; Tgfb-1; TGFbeta; TGF-beta 1; TGF-beta 1 protein; TGFbeta1; TGF-beta1; TGF-beta-1; TGFß1; Transforming growth factor; transforming growth factor b1; transforming growth factor beta; transforming growth factor beta 1; transforming growth factor beta-1; Transforming growth factor beta-1 proprotein; transforming growth factor beta-1 proprotein; transforming growth factor beta-1; transforming growth factor ß1; transforming growth factor, beta 1; transforming growth factor, beta 1 (Camurati-Engelmann disease); transforming growth factor, beta-1; transforming growth factor-beta 1; transforming growth factor-beta I; transforming growth factor-beta-1; transforming growth factor-beta-1 precursor; unnamed protein product
Rabbit
Antigen affinity chromatography, Protein A
RUO
397078, 7040
Store at 4°C short term. For long term storage, store at -20°C, avoiding freeze/thaw cycles.
Liquid
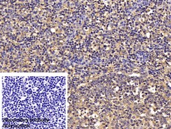
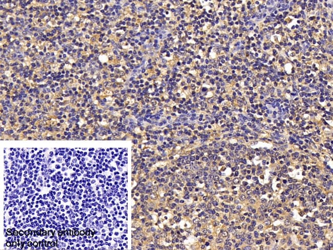
Immunohistochemistry (Paraffin), Western Blot, Western Blot
0.5 mg/mL
PBS with 50% glycerol and 0.05% Proclin 300; pH 7.4
P01137, P07200
Tgfb1
Recombinant Pig TGFb1 protein, Ala279-Ser390 (Accession #P07200).
200 μL
Primary
Human, Pig
Antibody
IgG
Product Suggestions

Product Suggestions

Videos
SDS
Documents

Documents

Promotions

Promotions