missing translation for 'onlineSavingsMsg'
Learn More
Learn More
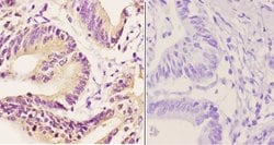
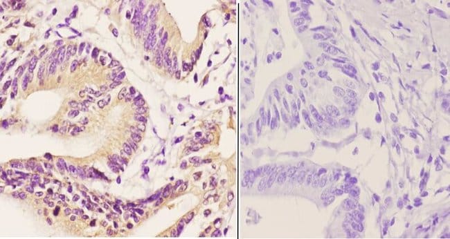
Invitrogen™ TBP Polyclonal Antibody

Description
Purity is > 95% by SDS-PAGE.
RICH1 is a GTPase-activating protein (GAP). GAPs stimulate the intrinsic GTP hydrolysis of small G proteins, such as RHOA, RAC1, and CDC42.
Specifications
Specifications
| Antigen | TBP |
| Applications | Immunohistochemistry (Paraffin) |
| Classification | Polyclonal |
| Concentration | 1 mg/mL |
| Conjugate | Unconjugated |
| Formulation | PBS with 50% glycerol and 0.02% sodium azide; pH 7.2 |
| Gene | Tbp |
| Gene Accession No. | P20226, P29037 |
| Gene Alias | Gtf2d; GTF2D1; HDL4; MGC117320; MGC126054; MGC126055; RP1-191N21.3; SCA17; TATA binding protein; TA-TA binding protein 1; TATA box binding protein; TATA sequence-binding protein; TATA-binding factor; TATA-binding protein; TATA-box binding protein; TATA-box binding protein N-terminal domain; TATA-box factor; tata-box-binding; TATA-box-binding protein; TBP; TBP0; TBP1; TF2D; TFIID; TFIID core protein; transcription initiation factor TFIID TBP subunit; Unknown (protein for MGC:138100) |
| Gene Symbols | Tbp |
| Show More |