missing translation for 'onlineSavingsMsg'
Learn More
Learn More
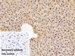
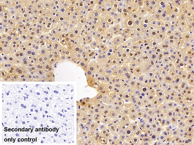
Invitrogen™ RelB Polyclonal Antibody

Rabbit Polyclonal Antibody
Supplier: Invitrogen™ PA5150187
Description
RelB Polyclonal Antibody for Western Blot, ICC/IF, IHC (P)
The NFkB transcription factor was originally identified as a protein complex consisting of a DNA-binding subunit and an associated protein. The DNAbinding subunit is functionally related to c-Rel p75 and Rel B p68. The p50 subunit was initially believed to be a functionally unique protein derived from the amino-terminus of a precursor designated p105. A second protein designated p52 (previously referred to as p49) has been identified that can act as an alternative NFkB subunit. Rel B does not bind with high affinity to NFkB sites, but heterodimers between Rel B and p50 bind with an affinity comparable to that of p50 NFkB homodimers. However, Rel B/p50 heterodimers, in contrast to NFkB heterodimers, transactivates transcription of promotors containing kB binding sites.Chemical Identifiers
| RelB | |
| Store at 4°C short term. For long term storage, store at -20°C, avoiding freeze/thaw cycles. | |
| Polyclonal | |
| Liquid | |
| RUO | |
| PBS with 50% glycerol and 0.05% ProClin 300; pH 7.4 | |
| Q01201 | |
| 5971 | |
| Recombinant V-Rel Reticuloendotheliosis Viral Oncogene Homolog B (RELB) (Asp248-Asp492). | |
| Antibody |
| 0.5 mg/mL | |
| Immunohistochemistry (Paraffin), Western Blot, Immunocytochemistry | |
| Unconjugated | |
| Rabbit | |
| Human | |
| RELB | |
| avian reticuloendotheliosis viral (v-rel) oncogene related B; IREL; I-REL; OTTHUMP00000221313; rel b; RELB; REL-B; RELB proto-oncogene, NF-kB subunit; shep; transcription factor RelB; v-rel avian reticuloendotheliosis viral oncogene homolog B; v-rel avian reticuloendotheliosis viral oncogene homolog B (nuclear factor of kappa light polypeptide gene enhancer in B-cells 3); v-rel reticuloen; v-rel reticuloendotheliosis viral oncogene homolog B; v-rel reticuloendotheliosis viral oncogene homolog B, nuclear factor of kappa light polypeptide gene enhancer in B-cells 3 | |
| RELB | |
| Primary | |
| Protein A |
Specifications
| RelB | |
| Polyclonal | |
| Unconjugated | |
| RELB | |
| avian reticuloendotheliosis viral (v-rel) oncogene related B; IREL; I-REL; OTTHUMP00000221313; rel b; RELB; REL-B; RELB proto-oncogene, NF-kB subunit; shep; transcription factor RelB; v-rel avian reticuloendotheliosis viral oncogene homolog B; v-rel avian reticuloendotheliosis viral oncogene homolog B (nuclear factor of kappa light polypeptide gene enhancer in B-cells 3); v-rel reticuloen; v-rel reticuloendotheliosis viral oncogene homolog B; v-rel reticuloendotheliosis viral oncogene homolog B, nuclear factor of kappa light polypeptide gene enhancer in B-cells 3 | |
| Rabbit | |
| Protein A | |
| RUO | |
| 5971 | |
| Store at 4°C short term. For long term storage, store at -20°C, avoiding freeze/thaw cycles. | |
| Liquid |
| Immunohistochemistry (Paraffin), Western Blot, Immunocytochemistry | |
| 0.5 mg/mL | |
| PBS with 50% glycerol and 0.05% ProClin 300; pH 7.4 | |
| Q01201 | |
| RELB | |
| Recombinant V-Rel Reticuloendotheliosis Viral Oncogene Homolog B (RELB) (Asp248-Asp492). | |
| 200 μL | |
| Primary | |
| Human | |
| Antibody |