missing translation for 'onlineSavingsMsg'
Learn More
Learn More
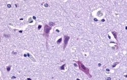
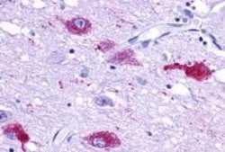
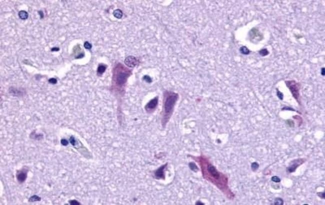
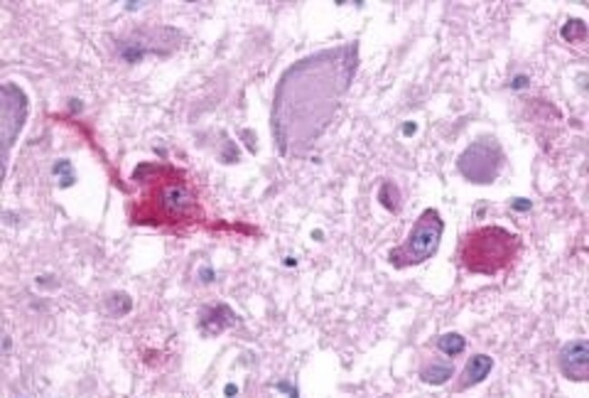
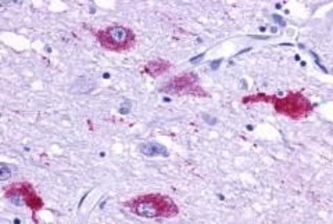
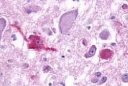
Invitrogen™ QRFPR Polyclonal Antibody

Description
Percent identity with other species by BLAST analysis: Human (100%) Gorilla, Gibbon, Monkey, Marmoset (95%) Dog (85%) Horse, Rabbit (80%).
G protein-coupled receptors (GPRs) are a protein family of transmembrane receptors that transmit an extracellular signal (ligand binding) into an intracellular signal (G protein activation). GPR signaling is an evolutionarily ancient mechanism used by all eukaryotes to sense environmental stimuli and mediate cell-cell communication. All of the receptors have seven membrane-spanning domains and the extracellular parts of the receptor can be glycosylated. These extracellular loops also contain two highly conserved cysteine residues which create disulfide bonds to stabilize the receptor structure. GPR103 is a 455 amino acid protein with highest expression in the brain, retina, trigeminal ganglion, hypothalamus and vestibular nucleus. In peripheral tissues, GPR103 is expressed only in the heart, kidney and testis. GPR103 may regulate adrenal function. A hypothalamic neuropeptide of the RFamide family (26RFa) acts as an endogenous ligand for GPR103.
Specifications
Specifications
| Antigen | QRFPR |
| Applications | Immunohistochemistry (Paraffin) |
| Classification | Polyclonal |
| Concentration | 1 mg/mL |
| Conjugate | Unconjugated |
| Formulation | PBS with 0.1% sodium azide |
| Gene | QRFPR |
| Gene Accession No. | Q96P65 |
| Gene Alias | AQ27; G protein-coupled receptor 103; Gpr103; G-protein coupled receptor 103; orexigenic neuropeptide QRFP receptor; peptide P518 receptor; pyroglutamylated RFamide peptide receptor; Pyroglutamylated RF-amide peptide receptor; QRFP receptor; QRFPR; SP9155 |
| Gene Symbols | QRFPR |
| Show More |