missing translation for 'onlineSavingsMsg'
Learn More
Learn More
Invitrogen™ PKLR Polyclonal Antibody

Description
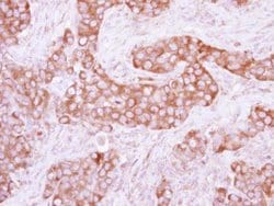
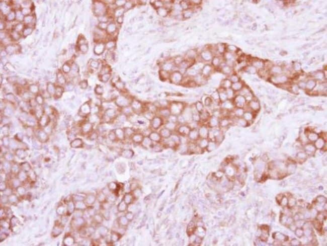
Recommended positive controls: Jurkat, Raji, K562, rat liver, PKLR-transfected 293T. Predicted reactivity: Mouse (93%), Rat (92%), Xenopus laevis (80%), Dog (93%), Bovine (94%). Store product as a concentrated solution. Centrifuge briefly prior to opening the vial.
The protein encoded by this gene is a pyruvate kinase that catalyzes the transphosphorylation of phohsphoenolpyruvate into pyruvate and ATP, which is the rate-limiting step of glycolysis. Defects in this enzyme, due to gene mutations or genetic variations, are the common cause of chronic hereditary nonspherocytic hemolytic anemia (CNSHA or HNSHA). Multiple transcript variants encoding different isoforms have been found for this gene.
Specifications
Specifications
| Antigen | PKLR |
| Applications | Immunohistochemistry (Paraffin), Western Blot |
| Classification | Polyclonal |
| Concentration | 1.01 mg/mL |
| Conjugate | Unconjugated |
| Formulation | 0.1M tris glycine with 20% glycerol and 0.01% thimerosal; pH 7 |
| Gene | PKLR |
| Gene Accession No. | P12928, P30613 |
| Gene Alias | isozymes R/L; L-PK; PK1; Pk-1; PKL; Pklg; Pklr; PKR; PKRL; Pyruvate kinase 1; pyruvate kinase isozyme R/L; pyruvate kinase isozymes L/R; pyruvate kinase isozymes R/L; pyruvate kinase liver and red blood cell; pyruvate kinase PKLR; pyruvate kinase type L; pyruvate kinase, liver and blood cell; pyruvate kinase, liver and RBC; pyruvate kinase, liver and red blood cell; red cell/liver pyruvate kinase; RPK; R-PK; R-type/L-type pyruvate kinase |
| Gene Symbols | PKLR |
| Show More |