missing translation for 'onlineSavingsMsg'
Learn More
Learn More
Invitrogen™ PKIB Polyclonal Antibody
Rabbit Polyclonal Antibody
Supplier: Invitrogen™ PA5149781
Description
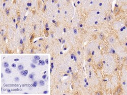
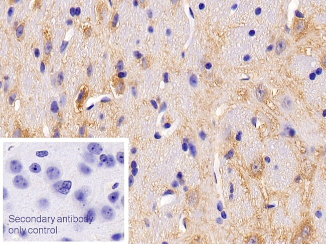
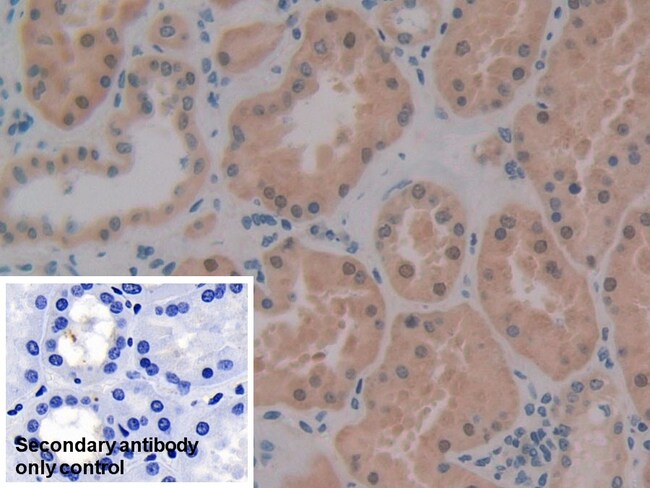
PKIB Polyclonal Antibody for Western Blot, ICC/IF, IHC (P)
This gene encodes a member of the cAMP-dependent protein kinase inhibitor family. The encoded protein may play a role in the protein kinase A (PKA) pathway by interacting with the catalytic subunit of PKA, and overexpression of this gene may play a role in prostate cancer. Alternatively spliced transcript variants encoding multiple isoforms have been observed for this gene. [provided by RefSeq, Jul 2012].Specifications
| PKIB | |
| Polyclonal | |
| Unconjugated | |
| PKIB | |
| cAMP-dependent protein kinase (catalytic subunit binding) inhibtor 2; cAMP-dependent protein kinase inhibitor 2; cAMP-dependent protein kinase inhibitor beta; cAMP-dependent protein kinase inhibitor bet-like protein; cAMP-dependent protein kinase inhibitor, testis isoform; im:7054531; Pkib; Pkibeta; PKI-beta; PKINH; PRKACN2; protein kinase (cAMP dependent, catalytic) inhibitor beta; protein kinase (cAMP-dependent, catalytic) inhibitor beta; protein kinase inhibitor beta, (cAMP-dependent, catalytic) inhibitor beta; protein kinase inhibitor beta, cAMP dependent, catalytic; protein kinase inhibitor beta, cAMP dependent, testis specific; protein kinase inhibitor, beta; protein kinase, cAMP-dependent, catalytic, inhibitor 2; RATPKINH; si:dkey-150h13.1 | |
| Rabbit | |
| Protein A | |
| RUO | |
| 5570 | |
| Store at 4°C short term. For long term storage, store at -20°C, avoiding freeze/thaw cycles. | |
| Liquid |
| Immunohistochemistry (Paraffin), Western Blot, Immunocytochemistry | |
| 0.5 mg/mL | |
| PBS with 50% glycerol and 0.05% ProClin 300; pH 7.4 | |
| Q9C010 | |
| PKIB | |
| Recombinant Protein Kinase Inhibitor Beta (PKIb) (Met8-Glu76). | |
| 200 μL | |
| Primary | |
| Human | |
| Antibody |