missing translation for 'onlineSavingsMsg'
Learn More
Learn More
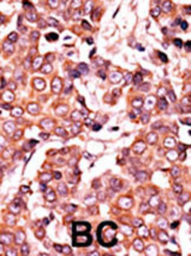
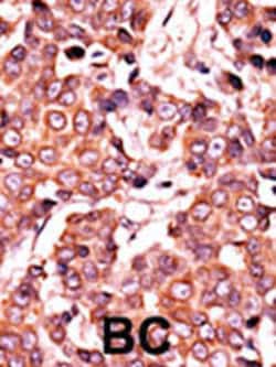
Invitrogen™ Phospho-Cdc25A (Ser278) Polyclonal Antibody

Description
Phospho-Cdc25A (Ser278) Polyclonal Antibody for Western Blot, IHC (P)
CDC25a is a member of the CDC25 family of phosphatases. Three CDC25 genes are present in human cells: CDC25A, CDC25B, and CDC25C. These three genes function at different phases of the cell cycle. CDC25a is required for progression through G1 and S phases of the cell cycle. CDC25a activates the cyclin-dependent kinase CDC2 by removing two phosphate groups. CDC25A is specifically degraded in response to DNA damage, which prevents cells with chromosomal abnormalities from progressing through cell division. CDC25A is an oncogene, although its exact role in oncogenesis has not been demonstrated.
Specifications
Specifications
| Antigen | Phospho-Cdc25A (Ser278) |
| Applications | Immunohistochemistry (Paraffin), Western Blot |
| Classification | Polyclonal |
| Concentration | 0.5 mg/mL |
| Conjugate | Unconjugated |
| Formulation | PBS with 0.09% sodium azide; pH 7.4 |
| Gene | CDC25A |
| Gene Accession No. | P30304, P48964 |
| Gene Alias | CDC25 isoform A1-CAG; CDC25A; CDC25A2; CDC25A2-CAG isoform; Cdc25m3; cell division cycle 25A; D9Ertd393e; dual specificity phosphatase Cdc25A; EC 3.1.3.48; M-phase inducer phosphatase 1; MPIP1 |
| Gene Symbols | CDC25A |
| Show More |