missing translation for 'onlineSavingsMsg'
Learn More
Learn More
Invitrogen™ PCCB Polyclonal Antibody

Rabbit Polyclonal Antibody
Supplier: Invitrogen™ PA521647
Description
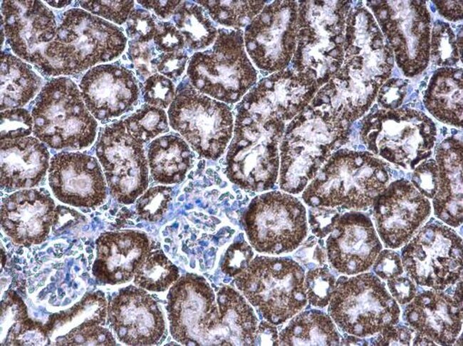
Recommended positive controls: HepG2. Predicted reactivity: Mouse (92%), Rat (91%), Zebrafish (90%), Xenopus laevis (90%), Pig (94%), Rhesus Monkey (99%), Bovine (97%). Store product as a concentrated solution. Centrifuge briefly prior to opening the vial.
The protein encoded by this gene is a subunit of the propionyl-CoA carboxylase (PCC) enzyme, which is involved in the catabolism of propionyl-CoA. PCC is a mitochondrial enzyme that probably acts as a dodecamer of six alpha subunits and six beta subunits. This gene encodes the beta subunit of PCC. Defects in this gene are a cause of propionic acidemia type II (PA-2).Chemical Identifiers
| PCCB | |
| Store at 4°C short term. For long term storage, store at -20°C, avoiding freeze/thaw cycles. | |
| Polyclonal | |
| Liquid | |
| IgG | |
| Human, Mouse | |
| PCCB | |
| 1300012P06Rik; AI314687; PCCase subunit beta; Pccb; Propanoyl-CoA:carbon dioxide ligase subunit beta; propionyl CoA carboxylase, beta polypeptide; propionyl Coenzyme A carboxylase, beta polypeptide; propionyl-coA carboxylase B; Propionyl-CoA carboxylase beta chain precursor; propionyl-CoA carboxylase beta chain, mitochondrial; propionyl-CoA carboxylase beta subunit; propionyl-CoA carboxylase subunit beta; R74805 | |
| PCCB | |
| Primary | |
| Antigen affinity chromatography |
| 0.54 mg/mL | |
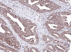
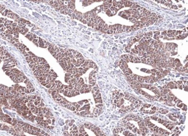
| Immunohistochemistry (Paraffin), Western Blot, Immunocytochemistry | |
| Unconjugated | |
| Rabbit | |
| RUO | |
| 0.1M tris glycine with 10% glycerol and 0.01% thimerosal; pH 7 | |
| P05166, Q99MN9 | |
| 5096, 66904 | |
| Recombinant protein encompassing a sequence within the center region of human PCCB. The exact sequence is proprietary. | |
| Antibody |
Specifications
| PCCB | |
| Polyclonal | |
| Unconjugated | |
| PCCB | |
| 1300012P06Rik; AI314687; PCCase subunit beta; Pccb; Propanoyl-CoA:carbon dioxide ligase subunit beta; propionyl CoA carboxylase, beta polypeptide; propionyl Coenzyme A carboxylase, beta polypeptide; propionyl-coA carboxylase B; Propionyl-CoA carboxylase beta chain precursor; propionyl-CoA carboxylase beta chain, mitochondrial; propionyl-CoA carboxylase beta subunit; propionyl-CoA carboxylase subunit beta; R74805 | |
| Rabbit | |
| Antigen affinity chromatography | |
| RUO | |
| 5096, 66904 | |
| Store at 4°C short term. For long term storage, store at -20°C, avoiding freeze/thaw cycles. | |
| Liquid |
| Immunohistochemistry (Paraffin), Western Blot, Immunocytochemistry | |
| 0.54 mg/mL | |
| 0.1M tris glycine with 10% glycerol and 0.01% thimerosal; pH 7 | |
| P05166, Q99MN9 | |
| PCCB | |
| Recombinant protein encompassing a sequence within the center region of human PCCB. The exact sequence is proprietary. | |
| 100 μL | |
| Primary | |
| Human, Mouse | |
| Antibody | |
| IgG |