missing translation for 'onlineSavingsMsg'
Learn More
Learn More
Invitrogen™ PAX3 Monoclonal Antibody (7D8G7)

Description
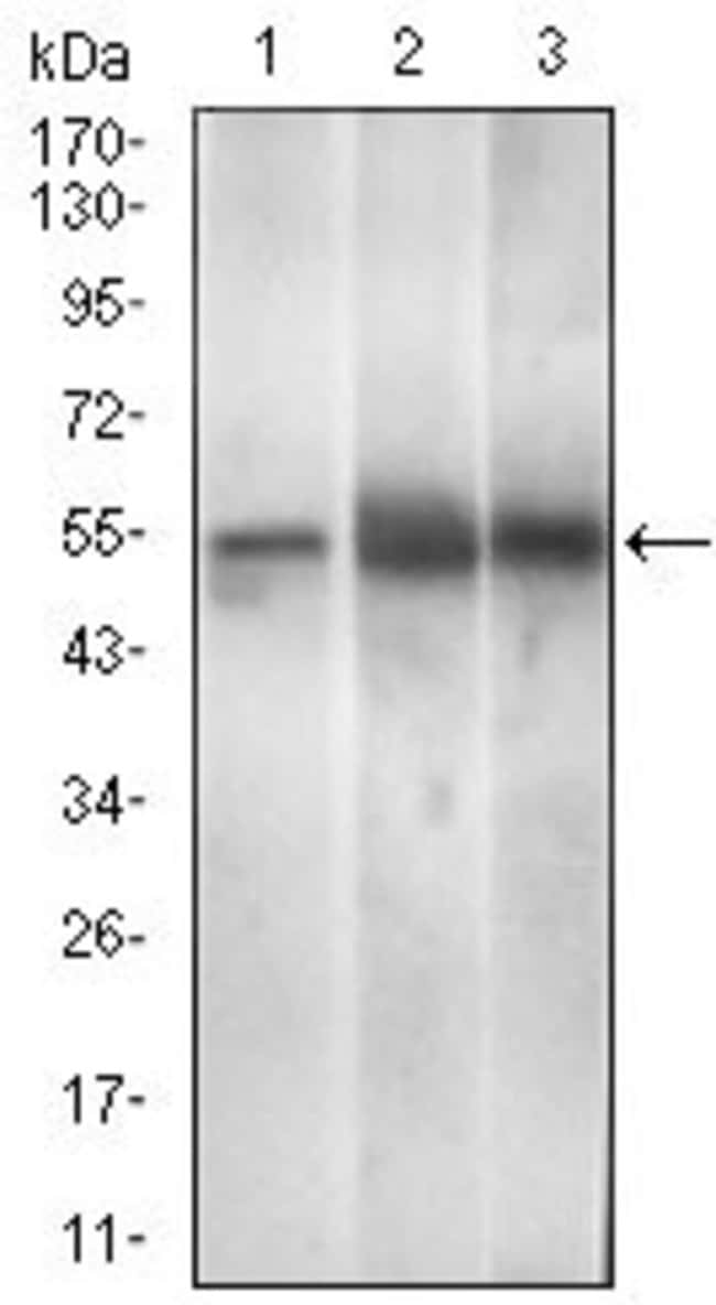
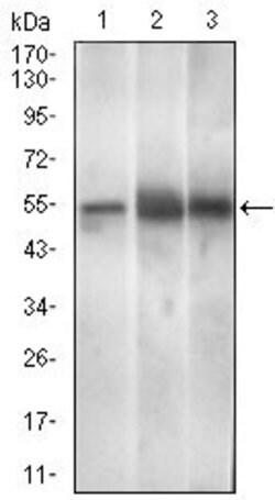
This antibody has been tested in indirect ELISA.
Pax 3 (Paired Box 3) is a transcription factor that is involved in development of the peripheral nervous system, melanocytes, some vascular smooth muscle, and a number of other derivatives. It regulates neurogenesis in pre-migratory neural crest cells from the dorsal neural tube, and in myogenic progenitors in the presomitic mesoderm and the hypaxial somites. Alternative splicing results in isoforms having different C-termini.
Specifications
Specifications
| Antigen | PAX3 |
| Applications | ELISA, Western Blot |
| Classification | Monoclonal |
| Clone | 7D8G7 |
| Concentration | 1 mg/mL |
| Conjugate | Unconjugated |
| Formulation | PBS with 0.05% sodium azide |
| Gene | PAX3 |
| Gene Accession No. | P23760, P24610 |
| Gene Alias | CDHS; homeodomain protein PAX3; HUP2; MGC120381; MGC120382; MGC120383; MGC120384; MGC134778; paired box 3; paired box gene 3; paired box homeotic gene 3; paired box protein Pax-3; paired domain gene 3; paired domain gene HuP2; PAX3; Pax-3; PAX3/FKHR fusion; Sp; splotch; WS1; WS3 |
| Show More |