missing translation for 'onlineSavingsMsg'
Learn More

Invitrogen™ Palladin Monoclonal Antibody (1E6)

Mouse Monoclonal Antibody

Supplier:  Invitrogen™ MA516141

Catalog No. PIMA516141


Only null left
Explore available promotions

Description

Description

Suggested positive control: MDA-MB231 (human breast cancer) lysates.

Palladin is a cytoskeletal protein required for organization of normal actin cytoskeleton. Palladin plays roles in establishing cell morphology, motility, cell adhesion and cell-extracellular matrix interactions in a variety of cell types. Palladin may function as a scaffolding molecule with the potential to impact both actin polymerization as well as the assembly of existing actin filaments into higher-order arrays. It binds to proteins that bind to either monomeric or filamentous actin. It localizes at sites where active actin remodeling takes place, such as lamellipodia and membrane ruffles. Palladin's different isoforms may have functional differences. It is also involved in the control of morphological and cytoskeletal changes associated with dendritic cell maturation.
Specifications

Specifications

Palladin
Monoclonal
1 mg/mL
TBS with 0.05% sodium azide
P0C5E3, Q8WX93, Q9ET54
PALLD
Endogenous Palladin immunoprecipitated from chicken embryo fibroblasts.
100 μL
Primary
Human, Mouse, Rat, Canine, Chicken, Mammalia
Antibody
IgG1
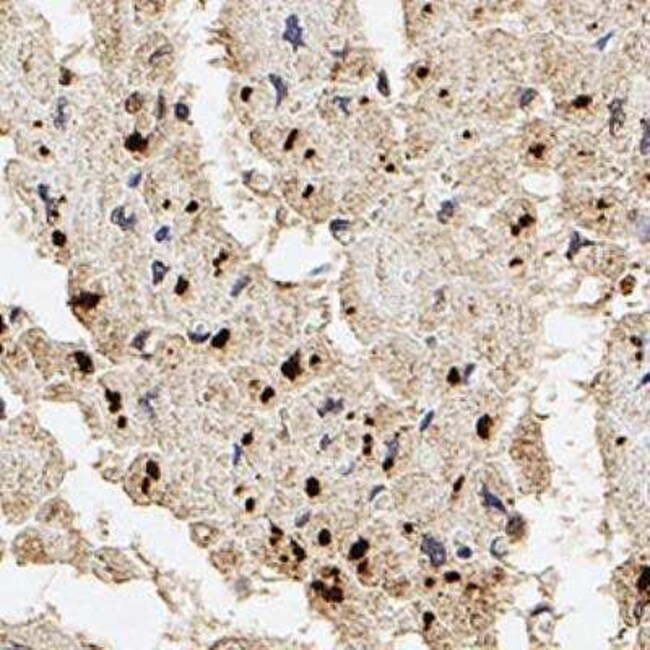
Flow Cytometry, Immunohistochemistry (Paraffin), Immunoprecipitation, Western Blot, Immunocytochemistry
1E6
Unconjugated
PALLD
2410003B16Rik; 6030492A02; 90kDa actin-associated protein palladin; actin-associated protein palladin; CGI151; CGI-151; FLJ22190; FLJ38193; FLJ39139; involved in cytoskeletal assembly; KIAA0992; MYN; myoneurin; palladin; palladin isoform; palladin pseudogene; palladin, cytoskeletal associated protein; PALLD; PNCA1; Sarcoma antigen NY-SAR-77; SIH002
Mouse
Protein G
RUO
23022, 364558, 422428, 477351, 72333
Store at 4°C short term. For long term storage, store at -20°C, avoiding freeze/thaw cycles.
Liquid
Product Suggestions

Product Suggestions

Videos
SDS
Documents

Documents

Promotions

Promotions