Learn More
Invitrogen™ NCoR1 Polyclonal Antibody

Rabbit Polyclonal Antibody
Supplier: Invitrogen™ PA1844A
Description
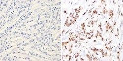
PA1-844A detects human and mouse nuclear receptor corepressor (N-CoR). PA1-844A has been successfully used in Western blot, ICC/IF, IHC (P) and immunoprecipitation (ChIP) procedures. By Western blot, this antibody detects a protein at ~270 kDa representing N-CoR from HeLa cell extracts and mouse RAW 264.7/primary macrophages. This antibody is not recommended for mouse C2C12 cells in immunofluorescent applications. The PA1-844A immunogen is a synthetic peptide corresponding to residues C P(2427) A P L L S A Q Y E T L S D S D D(2443) of mouse N-CoR. This immunizing peptide (Cat. # PEP-061) is available for use in neutralization and control experiments.
This gene encodes a protein that mediates ligand-independent transcription repression of thyroid-hormone and retinoic-acid receptors by promoting chromatin condensation and preventing access of the transcription machinery. It is part of a complex which also includes histone deacetylases and transcriptional regulators similar to the yeast protein Sin3p. This gene is located between the Charcot-Marie-Tooth and Smith-Magenis syndrome critical regions on chromosome 17. Alternate splicing results in multiple transcript variants. Pseudogenes of this gene are found on chromosomes 17 and 20.Chemical Identifiers
| NCoR1 | |
| -20°C, Avoid Freeze/Thaw Cycles | |
| Polyclonal | |
| Liquid | |
| IgG | |
| Human, Mouse | |
| Ncor1 | |
| 5730405M06Rik; A230020K14Rik; h KIAA1047; hCIT529I10; hN-CoR; KIAA1047; MGC104216; mKIAA1047; NCoR; N-CoR; N-Cor/SMRT corepressor Rip13; N-Cor/SMRT corepressor, Rip13; NCOR1; N-CoR1; nuclear receptor corepressor; nuclear receptor corepressor 1; nuclear receptor co-repressor 1; PPP1R109; protein phosphatase 1, regulatory subunit 109; retinoid X receptor interacting protein 13; retinoid X receptor-interacting protein 13; RIP13; Rxrip13; thyroid hormone- and retinoic acid receptor-associated corepressor 1; TRAC1 | |
| Ncor1 | |
| Primary | |
| Antigen affinity chromatography |
| 0.7 mg/mL | |
| ChIP Assay, Immunohistochemistry (Paraffin), Immunoprecipitation, Western Blot, Immunocytochemistry | |
| Unconjugated | |
| Rabbit | |
| RUO | |
| PBS with 1mg/mL BSA and 0.05% sodium azide | |
| O75376, Q60974 | |
| 20185, 9611 | |
| Synthetic peptide corresponding to residues C P(2427) A P L L S A Q Y E T L S D S D D(2443) of mouse N-CoR. | |
| Antibody |
Specifications
| NCoR1 | |
| Polyclonal | |
| Unconjugated | |
| Ncor1 | |
| 5730405M06Rik; A230020K14Rik; h KIAA1047; hCIT529I10; hN-CoR; KIAA1047; MGC104216; mKIAA1047; NCoR; N-CoR; N-Cor/SMRT corepressor Rip13; N-Cor/SMRT corepressor, Rip13; NCOR1; N-CoR1; nuclear receptor corepressor; nuclear receptor corepressor 1; nuclear receptor co-repressor 1; PPP1R109; protein phosphatase 1, regulatory subunit 109; retinoid X receptor interacting protein 13; retinoid X receptor-interacting protein 13; RIP13; Rxrip13; thyroid hormone- and retinoic acid receptor-associated corepressor 1; TRAC1 | |
| Rabbit | |
| Antigen affinity chromatography | |
| RUO | |
| 20185, 9611 | |
| -20°C, Avoid Freeze/Thaw Cycles | |
| Liquid |
| ChIP Assay, Immunohistochemistry (Paraffin), Immunoprecipitation, Western Blot, Immunocytochemistry | |
| 0.7 mg/mL | |
| PBS with 1mg/mL BSA and 0.05% sodium azide | |
| O75376, Q60974 | |
| Ncor1 | |
| Synthetic peptide corresponding to residues C P(2427) A P L L S A Q Y E T L S D S D D(2443) of mouse N-CoR. | |
| 50 μg | |
| Primary | |
| Human, Mouse | |
| Antibody | |
| IgG |