missing translation for 'onlineSavingsMsg'
Learn More

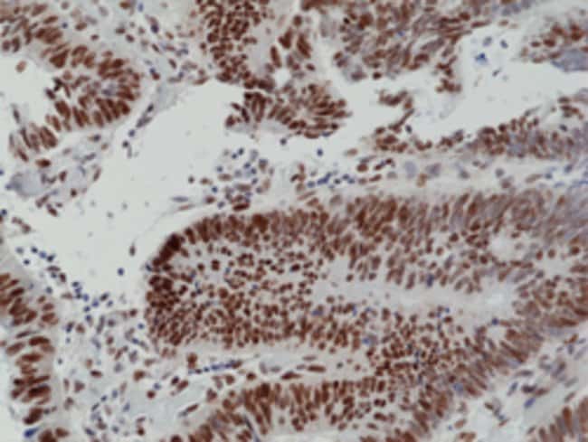
MSH6 Rabbit anti-Human, Unconjugated, Clone: RM376, Abnova™

Rabbit Monoclonal Antibody.

Supplier:  Abnova Corporation MAB22008

Catalog No. 89339225

Only null left
Explore available promotions

Description

Description

MSH6 Monoclonal antibody specifically detects MSH6 in Human samples. It is validated for WB-Ce, IHC-P.
Specifications

Specifications

MSH6
Monoclonal
Unconjugated
MSH6
Rabbit
100 μL
2956
Store at -20°C. Aliquot to avoid repeated freezing and thawing.
IgG
Western Blot, Immunohistochemistry (Paraffin)
RM376
mutS homolog 6 (E. coli)
GTBP, HNPCC5, HSAP
Mammalian cell expressed recombinant protein corresponding to human MSH6
Primary
Human
Liquid
Product Suggestions

Product Suggestions

Videos
SDS
Documents

Documents

Promotions

Promotions