missing translation for 'onlineSavingsMsg'
Learn More

Invitrogen™ MIP-1 gamma Polyclonal Antibody

Rabbit Polyclonal Antibody

Supplier:  Invitrogen™ PA5149859

Numéro de catalogue. PA5149859


Il en reste null
Découvrez plus d'offres spéciales

Description

Description

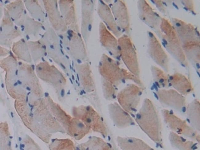
MIP-1 gamma Polyclonal Antibody for IHC (P)

MIP-1gamma is a CC chemokine found in murine blood and a wide variety of murine tissues, with no known human homolog. MIP-1gamma signals through the CCR1 receptor. MIP-1gamma chemoattracts neutrophils, and also inhibits colony formation of bone marrow myeloid immature progenitors. MIP-1gamma contains six cysteines, including the four highly conserved cysteine residues present in CC chemokines.
Spécifications

Spécifications

MIP-1 gamma
Polyclonal
Unconjugated
Ccl9
C-C motif chemokine 9; CCF18; Ccl9; CCL9(29-101); CCL9(30-101); CCL9(31-101); chemokine (C-C motif) ligand 9; chemokine CCL9; macrophage inflammatory protein 1-gamma; Macrophage inflammatory protein-related protein 2; MIP-1 gamma; MIP-1-gamma; Mrp2; MRP-2; RP23-320E6.3; Scya10; Scya9; small inducible cytokine A10; small inducible cytokine A9; Small-inducible cytokine A9
Rabbit
Protein A
RUO
20308
Store at 4°C short term. For long term storage, store at -20°C, avoiding freeze/thaw cycles.
Liquid
Immunohistochemistry (Paraffin)
0.5 mg/mL
PBS with 50% glycerol and 0.05% ProClin 300; pH 7.4
P51670
Ccl9
Recombinant Macrophage Inflammatory Protein 1 Gamma (MIP1g) (Gln22-Gln122).
200 μL
Primary
Mouse
Antibody
missing translation for 'recommendations'

missing translation for 'recommendations'

Videos
FDS
Documents

Documents

Promotions

Promotions