missing translation for 'onlineSavingsMsg'
Learn More
Learn More
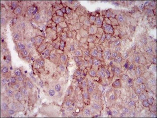
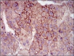
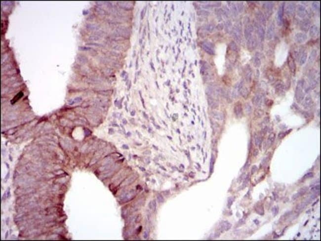
Invitrogen™ MELK Monoclonal Antibody (2G2)

Description
MA5-17120 targets MELK in indirect ELISA, FACS, ICC, IHC, and IF applications and shows reactivity with Human samples. The MA5-17120 immunogen is synthesized peptide of human MELK(amino acids: 637-651:C-VYKRLVEDILSSCKV). MA5-17120 detects MELK which has a predicted molecular weight of approximately 74.6kDa.
MELK is a serine/threonione kinase which is related to the AMPK family that has been linked to the cell cycle. MELK has also been shown to be overexpressed in cancer and has been identified has a potential target for cancer therapeutics. MELK has a broad substrate specificity; phosphorylates BCL2L14, CDC25B, MAP3K5/ASK1 and ZNF622. Acts as an activator of apoptosis by phosphorylating and activating MAP3K5/ASK1. Acts as a regulator of cell cycle, notably by mediating phosphorylation of CDC25B, promoting localization of CDC25B to the centrosome and the spindle poles during mitosis. Plays a key role in cell proliferation and carcinogenesis. Required for proliferation of embryonic and postnatal multipotent neural progenitors. Phosphorylates and inhibits BCL2L14, possibly leading to affect mammary carcinogenesis by mediating inhibition of the pro-apoptotic function of BCL2L14. Also involved in the inhibition of spliceosome assembly during mitosis by phosphorylating ZNF622, thereby contributing to its redirection to the nucleus. May also play a role in primitive hematopoiesis.
Specifications
Specifications
| Antigen | MELK |
| Applications | ELISA, Flow Cytometry, Immunohistochemistry (Paraffin), Immunocytochemistry |
| Classification | Monoclonal |
| Clone | 2G2 |
| Concentration | 1 mg/mL |
| Conjugate | Unconjugated |
| Formulation | PBS with 0.05% sodium azide |
| Gene | MELK |
| Gene Accession No. | Q14680 |
| Gene Alias | AI327312; hMELK; HPK38; Kiaa0175; Maternal embryonic leucine zipper kinase; Melk; mKIAA0175; MPK38; OTTHUMP00000046113; pEg3 kinase; Pk38; Protein kinase Eg3; protein kinase PK38; RP11-8N6.1; Tyrosine-protein kinase MELK |
| Show More |