missing translation for 'onlineSavingsMsg'
Learn More
Learn More
Invitrogen™ LGALS3BP Monoclonal Antibody (D5)

Mouse Monoclonal Antibody
Supplier: Invitrogen™ MA566068
Description
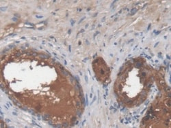
LGALS3BP Monoclonal Antibody for Western Blot, ICC/IF, IHC (P)
The galectins are a family of beta-galactoside-binding proteins implicated in modulating cell-cell and cell-matrix interactions. LGALS3BP has been found elevated in the serum of patients with cancer and in those infected by the human immunodeficiency virus (HIV). It appears to be implicated in immune response associated with natural killer (NK) and lymphokine-activated killer (LAK) cell cytotoxicity. Using fluorescence in situ hybridization the full length 90K cDNA has been localized to chromosome 17q25. The native protein binds specifically to a human macrophage-associated lectin known as Mac-2 and also binds galectin 1.Chemical Identifiers
| LGALS3BP | |
| 1 mg/mL | |
| Immunohistochemistry (Paraffin), Western Blot, Immunocytochemistry | |
| Unconjugated | |
| Mouse | |
| RUO | |
| PBS with 50% glycerol and 0.05% ProClin 300; pH 7.4 | |
| O70513, Q08380 | |
| 245955, 3959 | |
| Recombinant Lectin Galactoside Binding, Soluble 3 Binding Protein (LGALS3BP) (Met24-Leu221). | |
| Antibody |
| D5 | |
| Store at 4°C short term. For long term storage, store at -20°C, avoiding freeze/thaw cycles. | |
| Monoclonal | |
| Liquid | |
| IgG2b κ | |
| Human, Rat | |
| LGALS3BP | |
| 90K; basement membrane autoantigen p105; BTBD17B; CyCAP; Cyp-C-associated protein; galectin 3 binding protein; galectin-3-binding protein; gp90; L3 antigen; Lectin; lectin galactoside-binding soluble 3 binding protein; lectin galactoside-binding soluble 3-binding protein; lectin, galactoside binding soluble 3 binding protein; lectin, galactoside-binding, soluble, 3 binding protein; Lgals3bp; M2BP; mac-2 BP; mac-2-binding protein; MAC2BP; MAC-2BP; MAC-2-BP; mama; peptidylprolyl isomerase C-associated protein; Ppicap; Protein 90K; Protein MAMA; serum protein 90K; similar to Galectin-3 binding protein precursor (Lectin galactoside-binding soluble 3 binding protein) (Mac-2 binding protein) (Mac-2 BP) (MAC2BP) (Tumor-associated antigen 90K); TANGO10B; transport and golgi organization 10 homolog B; tumor-associated antigen 90K | |
| LGALS3BP | |
| Primary | |
| Protein A/G |
Specifications
| LGALS3BP | |
| Monoclonal | |
| 1 mg/mL | |
| PBS with 50% glycerol and 0.05% ProClin 300; pH 7.4 | |
| O70513, Q08380 | |
| LGALS3BP | |
| Recombinant Lectin Galactoside Binding, Soluble 3 Binding Protein (LGALS3BP) (Met24-Leu221). | |
| 200 μL | |
| Primary | |
| Human, Rat | |
| Antibody | |
| IgG2b κ |
| Immunohistochemistry (Paraffin), Western Blot, Immunocytochemistry | |
| D5 | |
| Unconjugated | |
| LGALS3BP | |
| 90K; basement membrane autoantigen p105; BTBD17B; CyCAP; Cyp-C-associated protein; galectin 3 binding protein; galectin-3-binding protein; gp90; L3 antigen; Lectin; lectin galactoside-binding soluble 3 binding protein; lectin galactoside-binding soluble 3-binding protein; lectin, galactoside binding soluble 3 binding protein; lectin, galactoside-binding, soluble, 3 binding protein; Lgals3bp; M2BP; mac-2 BP; mac-2-binding protein; MAC2BP; MAC-2BP; MAC-2-BP; mama; peptidylprolyl isomerase C-associated protein; Ppicap; Protein 90K; Protein MAMA; serum protein 90K; similar to Galectin-3 binding protein precursor (Lectin galactoside-binding soluble 3 binding protein) (Mac-2 binding protein) (Mac-2 BP) (MAC2BP) (Tumor-associated antigen 90K); TANGO10B; transport and golgi organization 10 homolog B; tumor-associated antigen 90K | |
| Mouse | |
| Protein A/G | |
| RUO | |
| 245955, 3959 | |
| Store at 4°C short term. For long term storage, store at -20°C, avoiding freeze/thaw cycles. | |
| Liquid |