missing translation for 'onlineSavingsMsg'
Learn More
Learn More
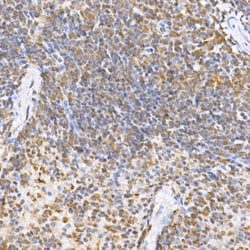
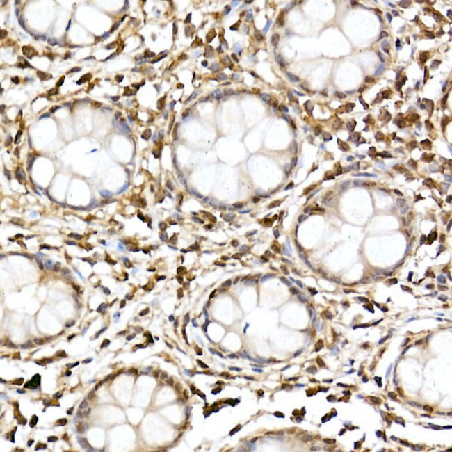
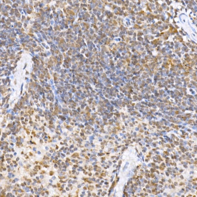
Invitrogen™ JNK1/JNK2/JNK3 Polyclonal Antibody

Description
Positive Samples: SH-SY5Y, Mouse brain, Rat brain Immunogen sequence: MSRSKRDNNF YSVEIGDSTF TVLKRYQNLK PIGSGAQGIV CAAYDAILER NVAIKKLSRP FQNQTHAKRA YRELVLMKCV NHKNIIGLLN VFTPQKSLEE FQDVYIVMEL MDANLCQVIQ MELDHERMSY LLYQMLCGIK HLHSAGIIHR DLKPSNIVVK SDCTLKILDF GLARTAGTSF MMTPYVVTRY YRAPEVILGM GYKENVDLWS VGCIMGEMVC HKILFPGRDY IDQWNKVIEQ LGTPCPEFMK KLQPTVRTYV ENRPKYAGYS FEKLFPDVLF PADSEHNKLK ASQARDLLSK MLVIDASKRI SVDEALQHPY INVWYDPSEA EAPPPKIPDK QLDEREHTIE EWKELIYKEV MDLEERTKNG.
C-Jun N-terminal Kinase (JNK) is also known as Mitogen-activated protein kinase (MAPK8). It belongs to the MAPK superfamily of stress-activated protein kinases. MAPKs are Serine-threonine protein kinases that are activated in response to a variety of extracellular stimuli, and mediate signal transduction from the cell surface to the nucleus. JNK is involved in a wide variety of cellular processes such as proliferation, differentiation, transcription regulation and development. JNK pathways are activated by stress and inflammatory signals. JNK is expressed as ten different isoforms due to differential mRNA splicing. The predominant forms are JNK1 and JNK2.
Specifications
Specifications
| Antigen | JNK1/JNK2/JNK3 |
| Applications | ELISA, Immunohistochemistry (Paraffin), Immunoprecipitation, Western Blot, Immunocytochemistry |
| Classification | Polyclonal |
| Concentration | 0.84 mg/mL |
| Conjugate | Unconjugated |
| Formulation | PBS with 50% glycerol and 0.05% ProClin 300; pH 7.3 |
| Gene | MAPK9 |
| Gene Accession No. | P45983, P45984, P49185, P49186, P49187, P53779, Q61831, Q91Y86, Q9WTU6 |
| Gene Alias | AI849689; AI851083; C230008H04Rik; c-Jun kinase 2; c-Jun N-terminal kinase 1; c-Jun N-terminal kinase 2; c-Jun N-terminal kinase 3; FLJ12099; FLJ33785; hypothetical protein LOC569698; janus kinase 1; janus kinase 2; JNK; JNK 46; JNK 55; JNK/SAPK alpha; JNK1; JNK1 beta1 protein kinase; JNK1A2; Jnk2; JNK21B1/2; JNK2A; JNK2ALPHA; JNK2B; JNK2BETA; Jnk3; JNK3 alpha protein kinase; JNK3 beta1 protein kinase; JNK3 beta2 protein kinase; JNK3A; JNK3B1; JNK3B2; JNK-46; JNK-55; Jun kinase; JUN N-terminal kinase; MAP kinase 10; MAP kinase 8; MAP kinase 9; MAP kinase p49 3F12; MAPK 10; MAPK 8; MAPK 9; Mapk10; Mapk8; Mapk9; MGC137545 protein; MGC50974; Mi; mitogen activated protein kinase 10; mitogen activated protein kinase 8; mitogen activated protein kinase 9; mitogen-activated protein kinase 10; Mitogen-activated protein kinase 8; mitogen-activated protein kinase 8 isoform JNK1 alpha1; mitogen-activated protein kinase 8 isoform JNK1 beta2; mitogen-activated protein kinase 9; MK10; p493F12; p54 gamma; p54a; p54-alpha; p54aSAPK; p54-beta; p54bSAPK; Phospho-JNK; PRKM10; Prkm8; PRKM9; protein kinase mitogen-activated 8; protein kinase, mitogen-activated 9; SAPb; SAPK; SAPK gamma; SAPK(beta); SAPK/Erk/kinase 2; SAPK1; SAPK1a; SAPK1B; SAPK1c; SAPK-alpha; SAPK-beta; SAPKC; Serk2; si:ch211-247j9.2; stress activated protein kinase alpha II; Stress activated protein kinase beta; stress-activated protein kinase 1; stress-activated protein kinase 1a; Stress-activated protein kinase 1b; stress-activated protein kinase 1c; Stress-activated protein kinase JNK1; stress-activated protein kinase JNK2; Stress-activated protein kinase JNK3; zgc:123234 |
| Gene Symbols | MAPK10, MAPK8, MAPK9 |
| Show More |