missing translation for 'onlineSavingsMsg'
Learn More
Learn More
Invitrogen™ IL-16 Polyclonal Antibody

Description
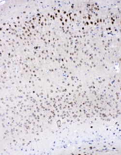
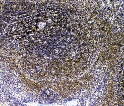
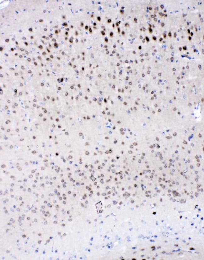
Reconstitute with 0.2 mL of distilled water to yield a concentration of 500 μg/mL. Positive Control - IHC: mouse brain tissue, rat brain tissue, rat spleen tissue.
The protein encoded by IL-16 is a pleiotropic cytokine that functions as a chemoattractant, a modulator of T cell activation, and an inhibitor of HIV replication. The signaling process of this cytokine is mediated by CD4. The product of IL-16 undergoes proteolytic processing, which is found to yield two functional proteins. The cytokine function is exclusively attributed to the secreted C-terminal peptide, while the N-terminal product may play a role in cell cycle control. Caspase 3 is reported to be involved in the proteolytic processing of this protein. Alternate splicing results in multiple transcript variants.
Specifications
Specifications
| Antigen | IL-16 |
| Applications | ELISA, Immunohistochemistry (Paraffin), Western Blot |
| Classification | Polyclonal |
| Concentration | 500 μg/mL |
| Conjugate | Unconjugated |
| Formulation | PBS with 5mg BSA and 0.05mg sodium azide |
| Gene | IL16 |
| Gene Accession No. | O54824 |
| Gene Alias | FLJ16806; FLJ42735; FLJ44234; H-IL-16; il 16; Il16; IL-16; ILN; Interleukin; interleukin 16; Interleukin16; Interleukin-16; LCF; Lymphocyte chemoattractant factor; M-IL-16; mKIAA4048; neuronal interleukin 16; NIL16; PRIL16; prIL-16; prointerleukin 16; Pro-interleukin-16 |
| Gene Symbols | IL16 |
| Show More |