missing translation for 'onlineSavingsMsg'
Learn More

Invitrogen™ IKK alpha Monoclonal Antibody (14A231)

Mouse Monoclonal Antibody

Supplier:  Invitrogen™ MA516157

Catalog No. PIMA516157


Only null left
Explore available promotions

Description

Description

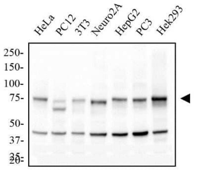
Suggested positive control: Daudi, NIH-3T3, or Raw.

CHUK (IKK alpha) is a serine/threonine kinase involved in signal transduction and cellular communication. It belongs to the cytokine activated protein complex that is an inhibitor of the NF-kappa B complex. IKK alpha along with IKK beta and a regulatory protein NEMO (IKK gamma) phosphorylates IkB proteins which targets the later for ubiquitin mediated degradation. It is involved with several cellular processes with extensive studies on its role in inflammation and cell survival.
Specifications

Specifications

IKK alpha
Monoclonal
1 mg/mL
PBS with 0.05% sodium azide
O15111, Q60680
CHUK
His-tagged full-length human IKK alpha protein.
100 μg
Primary
Human, Mouse, Monkey, Rat
Antibody
IgG1 κ
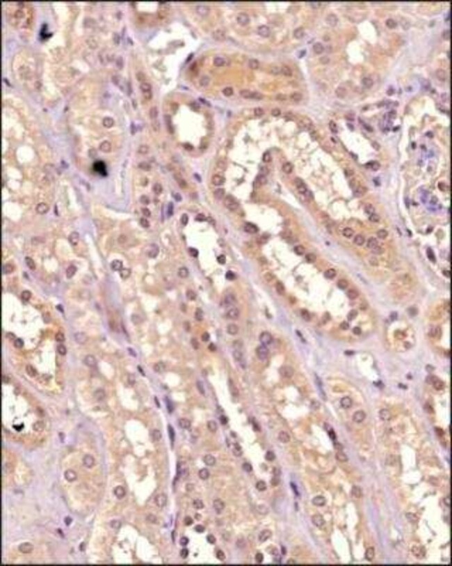
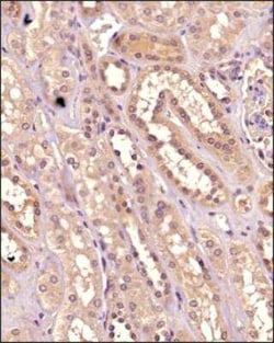
ChIP Assay, Flow Cytometry, Immunohistochemistry (Paraffin), Immunoprecipitation, Western Blot, Immunocytochemistry
14A231
Unconjugated
CHUK
AI256658; CHUK; Chuk1; component of inhibitor of nuclear factor kappa B kinase complex; conserved helix-loop-helix ubiquitous kinase; EC 2.7.11.10; Fbx24; Fbxo24; FLJ40509; I kappa B kinase 1; i kappa-B kinase alpha; ikappaB kinase; I-kappa-B kinase 1; I-kappa-B kinase 2; IkappaB kinase alpha; I-kappa-B kinase alpha; I-kappa-B kinase-alpha; IkB kinase alpha subunit; IkB kinase-alpha; ikBKA; IKBKB; IKK alpha; IKK1; IKK2; Ikka; IKK-A; IKK-a kinase; IKK-alpha; IKKB; IKK-B; IKK-beta; Inhibitor of nuclear factor kappa-B kinase subunit alpha; kinase beta; MGC131801; NFKBIKA; NFKBIKB; Nuclear factor NFkappaB inhibitor kinase alpha; Nuclear factor NF-kappa-B inhibitor kinase alpha; TCF16; TCF-16; Transcription factor 16
Mouse
Protein G
RUO
1147, 12675, 309361
Store at 4°C short term. For long term storage, store at -20°C, avoiding freeze/thaw cycles.
Liquid
Product Suggestions

Product Suggestions

Videos
SDS
Documents

Documents

Promotions

Promotions