missing translation for 'onlineSavingsMsg'
Learn More
Learn More
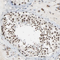
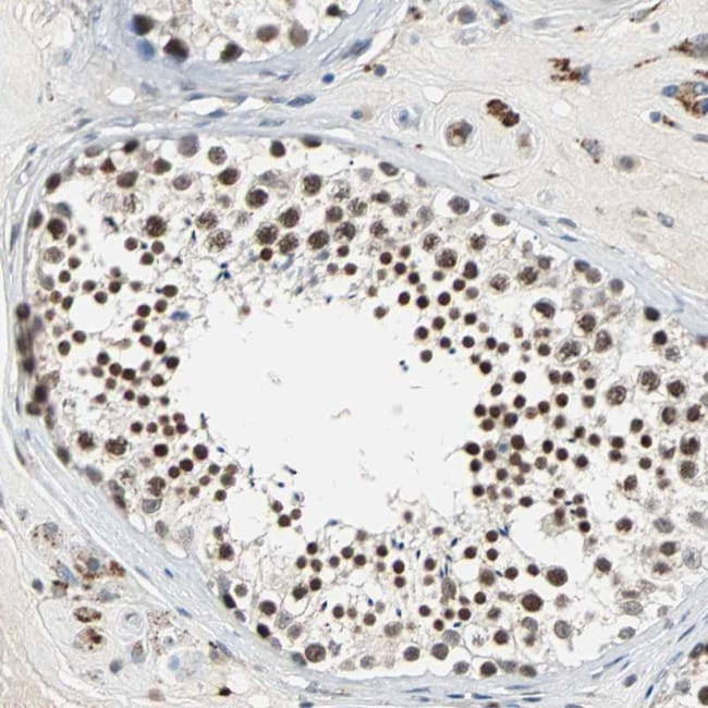
Invitrogen™ HLX Polyclonal Antibody

Description
Immunogen sequence: CSFPLDPAAV KKPSFCIADI LHAGVGDLGA APEGLAGASA AALTAHLGSV HPHASFQAAA RSPLRPTPVV APSEVPAGFP QRLSPLPAAY HHHHPQQQQQ QQ Highest antigen sequence identity to the following orthologs: Mouse - 86%, Rat - 87%.
HLX is a transcription factor required for TBX21/T-bet-dependent maturation of Th1 cells as well as maintenance of Th1-specific gene expression. Involved in embryogenesis and hematopoiesis.
Specifications
Specifications
| Antigen | HLX |
| Applications | Immunohistochemistry (Paraffin), Western Blot, Immunocytochemistry |
| Classification | Polyclonal |
| Concentration | 0.1 mg/mL |
| Conjugate | Unconjugated |
| Formulation | PBS with 40% glycerol and 0.02% sodium azide; pH 7.2 |
| Gene | HLX |
| Gene Accession No. | Q14774 |
| Gene Alias | dbx1a; developing brain homeobox 1a; developing brain homeobox protein 1-A; fc15c04; H2.0 homeobox 1; H2.0 like homeobox; H2.0-like homeo box 1; H2.0-like homeo box-1; H2.0-like homeobox; H2.0-like homeobox 1; H2.0-like homeobox protein; HB24; Hlx; hlx1; hlx-1; homeobox protein; homeobox protein DBX1-A; Homeobox protein HB24; homeobox protein HLX1; LOW QUALITY PROTEIN: H2.0-like homeobox protein; wu:fc15c04; zgc:109861 |
| Gene Symbols | HLX |
| Show More |