missing translation for 'onlineSavingsMsg'
Learn More

Invitrogen™ GPD1 Polyclonal Antibody

Rabbit Polyclonal Antibody

Supplier:  Invitrogen™ PA531051

Catalog No. PIPA531051


Only null left
Explore available promotions

Description

Description

Recommended positive controls: A549. Predicted reactivity: Mouse (91%), Rat (91%), Pig (91%), Bovine (93%). Store product as a concentrated solution. Centrifuge briefly prior to opening the vial.

This gene encodes a member of the NAD-dependent glycerol-3-phosphate dehydrogenase family. The encoded protein plays a critical role in carbohydrate and lipid metabolism by catalyzing the reversible conversion of dihydroxyacetone phosphate (DHAP) and reduced nicotine adenine dinucleotide (NADH) to glycerol-3-phosphate (G3P) and NAD+. The encoded cytosolic protein and mitochondrial glycerol-3-phosphate dehydrogenase also form a glycerol phosphate shuttle that facilitates the transfer of reducing equivalents from the cytosol to mitochondria. Mutations in this gene are a cause of transient infantile hypertriglyceridemia. Alternatively spliced transcript variants encoding multiple isoforms have been observed for this gene.
Specifications

Specifications

GPD1
Polyclonal
Unconjugated
Gpd1
AI747587; Gdc1; Gdc-1; glycerol 3-phosphate dehydrogenase; glycerol phosphate dehydrogenase 1, cytoplasmic adult; Glycerol-3-phosphate dehydrogenase [NAD(+)], cytoplasmic; glycerol-3-phosphate dehydrogenase [NAD+], cytoplasmic; glycerol-3-phosphate dehydrogenase 1; glycerol-3-phosphate dehydrogenase 1 (soluble); glycerolphosphate dehydrogenase 1, cytoplasmic adult; glycerophosphate dehydrogenase; Gpd1; Gpd3; GPD-C; GPDH; GPDH-C; HTGTI; Kiaa4010; mKIAA4010
Rabbit
Antigen affinity chromatography
RUO
2819, 60666
Store at 4°C short term. For long term storage, store at -20°C, avoiding freeze/thaw cycles.
Liquid
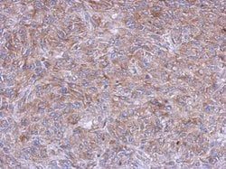
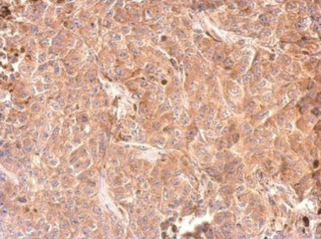
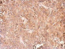
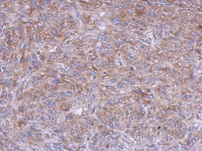
Immunohistochemistry (Paraffin), Western Blot, Immunocytochemistry
0.51 mg/mL
0.1M tris glycine with 20% glycerol and 0.01% thimerosal; pH 7
O35077, P21695
Gpd1
Recombinant protein encompassing a sequence within the center region of human GPD1. The exact sequence is proprietary.
100 μL
Primary
Human, Rat
Antibody
IgG
Product Suggestions

Product Suggestions

Videos
SDS
Documents

Documents

Promotions

Promotions