missing translation for 'onlineSavingsMsg'
Learn More
Learn More
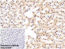
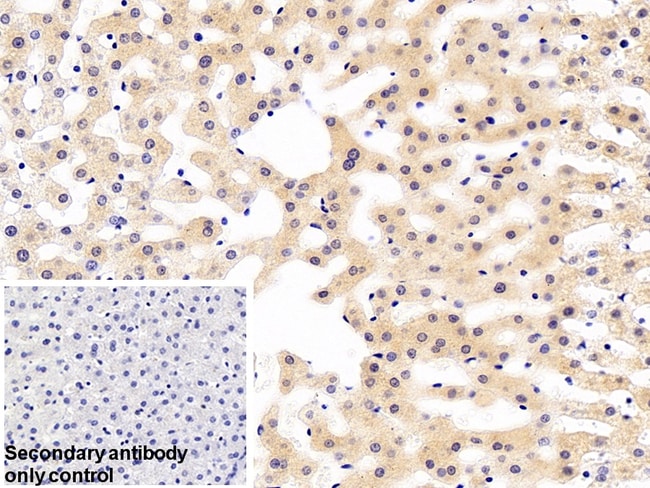
Invitrogen™ Furin Polyclonal Antibody

Rabbit Polyclonal Antibody
Supplier: Invitrogen™ PA5149864
Description
Furin Polyclonal Antibody for Western Blot, ICC/IF, IHC (P)
Furin is a membrane-associated, calcium-dependent, serine protease that belongs to the subtilisin-like prohormone convertase (PC) family. Members of this family of cellular enzymes cleave most prohormones and neuropeptide precursors. Numerous other cellular proteins, some viral proteins, and bacterial toxins that are transported by the constitutive secretory pathway are also targeted for maturation by PCs. Furin and other PC family members share structural similarities which include a heterogeneous ~10 kDa amino-terminal proregion, a highly conserved ~55 kDa subtilisin-like catalytic domain, and carboxyl-terminal domain that is heterogeneous in length and sequence. These enzymes become catalytically active following proregion cleavage within the appropriate cellular compartment. Furin is the only known PC to possess a transmembrane domain. Cleavage of target proteins occurs at the carboxyl-terminus of the furin consensus sequence, RX(K/R)R. It has been shown that the acidic peptide sequence, C771PSDSEEDEG780, localizes furin to the trans-Golgi-network. Phosphorylation of serine residues within this region modulates intracellular routing of furin protein. An additional signaling domain includes the tetrapeptide sequence, Y759KGL762, which directs internalization from the cell surface.Chemical Identifiers
| Furin | |
| Store at 4°C short term. For long term storage, store at -20°C, avoiding freeze/thaw cycles. | |
| Polyclonal | |
| Liquid | |
| RUO | |
| PBS with 50% glycerol and 0.05% ProClin 300; pH 7.4 | |
| P09958, P23188, P23377 | |
| 100156882, 18550, 5045, 54281 | |
| Recombinant Furin (FUR) (Cys587-Lys748). | |
| Antibody |
| 0.5 mg/mL | |
| Immunohistochemistry (Paraffin), Western Blot, Immunocytochemistry | |
| Unconjugated | |
| Rabbit | |
| Human, Mouse, Rat, Pig | |
| FURIN | |
| 9130404I01Rik; dibasic processing enzyme; dibasic-processing enzyme; FES upstream region; FUR; Furin; furin (paired basic amino acid cleaving enzyme); furin, membrane associated receptor protein; furin, paired basic amino acid cleaving enzyme; furin; LOW QUALITY PROTEIN: furin; Pace; Paired basic amino acid cleaving enzyme (furin); paired basic amino acid residue cleaving enzyme; paired basic amino acid residue-cleaving enzyme; Pcsk3; prohormone convertase 3; proprotein convertase subtilisin/kexin type 3; Proprotein convertase subtilisin/kexin type 3 (paired basic amino acid cleaving enzyme, furin, membrane associated receptor protein); proprotein convertase subtilisin/kexin type3; SPC1; subtilisin pro-protein processing enzyme | |
| FURIN | |
| Primary | |
| Protein A |
Specifications
| Furin | |
| Polyclonal | |
| Unconjugated | |
| FURIN | |
| 9130404I01Rik; dibasic processing enzyme; dibasic-processing enzyme; FES upstream region; FUR; Furin; furin (paired basic amino acid cleaving enzyme); furin, membrane associated receptor protein; furin, paired basic amino acid cleaving enzyme; furin; LOW QUALITY PROTEIN: furin; Pace; Paired basic amino acid cleaving enzyme (furin); paired basic amino acid residue cleaving enzyme; paired basic amino acid residue-cleaving enzyme; Pcsk3; prohormone convertase 3; proprotein convertase subtilisin/kexin type 3; Proprotein convertase subtilisin/kexin type 3 (paired basic amino acid cleaving enzyme, furin, membrane associated receptor protein); proprotein convertase subtilisin/kexin type3; SPC1; subtilisin pro-protein processing enzyme | |
| Rabbit | |
| Protein A | |
| RUO | |
| 100156882, 18550, 5045, 54281 | |
| Store at 4°C short term. For long term storage, store at -20°C, avoiding freeze/thaw cycles. | |
| Liquid |
| Immunohistochemistry (Paraffin), Western Blot, Immunocytochemistry | |
| 0.5 mg/mL | |
| PBS with 50% glycerol and 0.05% ProClin 300; pH 7.4 | |
| P09958, P23188, P23377 | |
| FURIN | |
| Recombinant Furin (FUR) (Cys587-Lys748). | |
| 200 μL | |
| Primary | |
| Human, Mouse, Rat, Pig | |
| Antibody |