missing translation for 'onlineSavingsMsg'
Learn More
Learn More
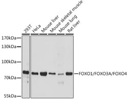
Invitrogen™ FOXO1/FOXO3/FOXO4 Polyclonal Antibody

Description
Positive Samples: 293T, HeLa, Mouse liver, Mouse skeletal muscle, Mouse lung, Rat liver.
FOXO1 + FOX3 + FOX4 belong to the forkhead family of transcription factors. FOXO1 (FKHR or ForkHead in Rhabdomyosarcoma) is a 70 kDa protein. Recent studies have shown that this protein can act as either a coactivator or a corepressor of nuclear receptor activity. This action is mediated through the LXXLL motif found in the C terminus of the FOXO1A protein. The specific function of the gene has not yet been determined.FOX3 probably functions as a trigger for apoptosis through expression of genes necessary for cell death. Translocation of the FOXO3 gene with the MLL gene is associated with secondary acute leukemia.FOX4 is a forkhead transcription factor involved in the regulation of the insulin signaling pathway. It binds to insulin-response elements (IREs) and can activate transcription of IGFBP1. FOXO4 down-regulates expression of HIF1A and suppresses hypoxia-induced transcriptional activation of HIF1A-modulated genes. It is also involved in negative regulation of the cell cycle.
Specifications
Specifications
| Antigen | FOXO1/FOXO3/FOXO4 |
| Applications | ELISA, Immunohistochemistry (Paraffin), Western Blot |
| Classification | Polyclonal |
| Concentration | 1.34 mg/mL |
| Conjugate | Unconjugated |
| Formulation | PBS with 50% glycerol and 0.01% thimerosal; pH 7.3 |
| Gene | FOXO3 |
| Gene Accession No. | G3V7R4, O43524, P98177, Q12778, Q9R1E0, Q9WVH3, Q9WVH4 |
| Gene Alias | 1110048B16Rik; 2010203A17Rik; AF6q21; AF6q21 protein; AFX; AFX1; Afxh; AI876417; C76856; FKH1; FKHR; Fkhr1; Fkhr2; Fkhr3; FKHRL1; FKHRL1P2; fork head domain transcription factor AFX1; forkhead box O1; forkhead box O1a; forkhead box O1A (rhabdomyosarcoma); forkhead box O3; forkhead box O3A; forkhead box O4; forkhead box protein O1; Forkhead box protein O1A; forkhead box protein O3; Forkhead box protein O4; forkhead homolog (rhabdomyosarcoma) like 1; forkhead in rhabdomyosarcoma; Forkhead in rhabdomyosarcoma-like 1; forkhead protein; forkhead protein 1; forkhead protein FKHR2; forkhead, Drosophila, homolog of, in rhabdomyosarcoma; forkhead, Drosophila, homolog of, in rhabdomyosarcoma-like 1; Foxo1; FOXO1A; FOXO2; FOXO3; Foxo3a; FOXO4; MGC120490; Mllt7; myeloid/lymphoid or mixed lineage-leukemia translocation to 7 homolog; myeloid/lymphoid or mixed-lineage leukemia (trithorax homolog, Drosophila); translocated to, 7; RGD1561201 |
| Gene Symbols | FOXO1, FOXO3, FOXO4 |
| Show More |