missing translation for 'onlineSavingsMsg'
Learn More
Learn More
Invitrogen™ EGFR Polyclonal Antibody

Rabbit Polyclonal Antibody
Supplier: Invitrogen™ PA524584
Description
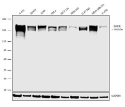
EGFR Polyclonal Antibody for Western Blot, ICC/IF, IHC (P), Flow
EGFR, epidermal growth factor receptor, is a receptor tyrosine kinases that signals in response to various growth factors. Overexpression has been linked to numerous types of cancer and EGFR is the target of both biological and small molecular therapeutics. EGFR is encoded by the EGFR gene located on chromosome 7 in humans. EGFR belongs to the HER/ERbB family of proteins that includes three other receptor tyrosine kinases, ERbB2, ERbB3, ERbB4. EGFR is a transmembrane receptor and binding of its cognate ligands such as EGF (Epidermal Growth Factor) and TGF alpha (Transforming Growth Factor alpha) to the extracellular domain leads to EGFR dimerization followed by autophosphorylation of the tyrosine residues in the cytoplasmic domain. Overexpression is observed in tumors of the head and neck, brain, bladder, stomach, breast, lung, endometrium, cervix, vulva, ovary, esophagus, stomach and in squamous cell carcinoma.Chemical Identifiers
| EGFR | |
| Store at 4°C short term. For long term storage, store at -20°C, avoiding freeze/thaw cycles. | |
| Polyclonal | |
| Liquid | |
| IgG | |
| Human | |
| EGFR | |
| 2.7.10.1; 9030024J15Rik; AI552599; avian erythroblastic leukemia viral (v-erbB) oncogene homolog; avian erythroblastic leukemia viral (v-erb-b) oncogene homolog; cell growth inhibiting protein 40; cell proliferation-inducing protein 61; EC 2.7.10.1; egf receptor; Egfr; EGFR-related peptide; epidermal growth factor receptor; epidermal growth factor receptor (erythroblastic leukemia viral (v-erb-b) oncogene homolog, avian); Epidermal growth factor receptor formerly avian erythroblastic leukemia viral (v-erbB) oncogene homolog (Erbb1); epidermal growth factor receptor, formerly avian erythroblastic leukemia viral (v-erbB) oncogene homolog (Erbb1); ERBB; ERBB1; ErbB-1; erb-b2 receptor tyrosine kinase 1; Errb1; Errp; HER1; kinase EGFR; mENA; NISBD2; Oncogene ERBB; PIG61; Proto-oncogene c-ErbB-1; receptor tyrosine-protein kinase erbB-1; Urogastrone; wa2; wa-2; Wa5; waved 2 | |
| EGFR | |
| Primary | |
| Antigen affinity chromatography, Protein A |
| 0.5 mg/mL | |
| Flow Cytometry, Immunohistochemistry (Paraffin), Western Blot, Immunocytochemistry | |
| Unconjugated | |
| Rabbit | |
| RUO | |
| PBS with 0.09% sodium azide; pH 7.4 | |
| P00533 | |
| 1956 | |
| KLH conjugated synthetic peptide between 1004-1033 amino acids from the C-terminal region of human EGFR-S1026. | |
| Antibody |
Specifications
| EGFR | |
| Polyclonal | |
| Unconjugated | |
| EGFR | |
| 2.7.10.1; 9030024J15Rik; AI552599; avian erythroblastic leukemia viral (v-erbB) oncogene homolog; avian erythroblastic leukemia viral (v-erb-b) oncogene homolog; cell growth inhibiting protein 40; cell proliferation-inducing protein 61; EC 2.7.10.1; egf receptor; Egfr; EGFR-related peptide; epidermal growth factor receptor; epidermal growth factor receptor (erythroblastic leukemia viral (v-erb-b) oncogene homolog, avian); Epidermal growth factor receptor formerly avian erythroblastic leukemia viral (v-erbB) oncogene homolog (Erbb1); epidermal growth factor receptor, formerly avian erythroblastic leukemia viral (v-erbB) oncogene homolog (Erbb1); ERBB; ERBB1; ErbB-1; erb-b2 receptor tyrosine kinase 1; Errb1; Errp; HER1; kinase EGFR; mENA; NISBD2; Oncogene ERBB; PIG61; Proto-oncogene c-ErbB-1; receptor tyrosine-protein kinase erbB-1; Urogastrone; wa2; wa-2; Wa5; waved 2 | |
| Rabbit | |
| Antigen affinity chromatography, Protein A | |
| RUO | |
| 1956 | |
| Store at 4°C short term. For long term storage, store at -20°C, avoiding freeze/thaw cycles. | |
| Liquid |
| Flow Cytometry, Immunohistochemistry (Paraffin), Western Blot, Immunocytochemistry | |
| 0.5 mg/mL | |
| PBS with 0.09% sodium azide; pH 7.4 | |
| P00533 | |
| EGFR | |
| KLH conjugated synthetic peptide between 1004-1033 amino acids from the C-terminal region of human EGFR-S1026. | |
| 400 μL | |
| Primary | |
| Human | |
| Antibody | |
| IgG |