missing translation for 'onlineSavingsMsg'
Learn More

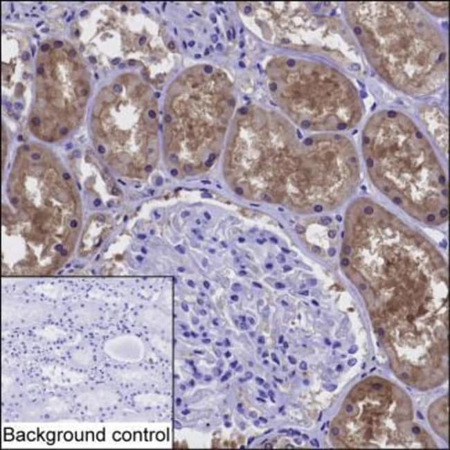
Invitrogen™ DDAH1 Monoclonal Antibody (K24015_11H12), Invitrogen™

Catalog No. MA556006
Change view
Click to view available options
Quantity:
50 μL
200 μL
2 product options available for selection
Product selection table with 2 available options. Use arrow keys to navigate and Enter or Space to select.
Catalog No. Quantity
MA556006 200 μL
MA555626 50 μL
Use arrow keys to navigate between rows. Press Enter or Space to select a product option. 2 options available.
2 options
Catalog No. MA556006 Supplier Invitrogen™ Supplier No. MA556006
Only null left

Mouse Monoclonal Antibody

Sequence of this protein is as follows: ARAERQHQLY VGVLGSKLGL QVVELPADES LPDCVFVEDV AVVCEETALI TRPGAPSRRK EVDMMKEALE KLQLNIVEMK DENATLDGGD

This gene belongs to the dimethylarginine dimethylaminohydrolase (DDAH) gene family. The encoded enzyme plays a role in nitric oxide generation by regulating cellular concentrations of methylarginines, which in turn inhibit nitric oxide synthase activity.

Specifications

Antigen DDAH1
Applications Immunohistochemistry (Paraffin), Western Blot
Classification Monoclonal
Clone K24015_11H12
Concentration 1 mg/mL
Conjugate Unconjugated
Formulation PBS with 50% glycerol, 0.5% BSA and 0.09% sodium azide
Gene DDAH1
Gene Accession No. O08557, O94760, Q9CWS0
Gene Alias 2410006N07Rik; 2510015N06Rik; AI987801; AW050362; Ddah; Ddah1; DDAH-1; DDAHI; dimethylargininase-1; dimethylarginine dimethylaminohydrolase 1; epididymis secretory protein Li 16; FLJ21264; FLJ25539; HEL-S-16; N(G),N(G)-dimethylarginine dimethylaminohydrolase 1; NG, NG-dimethylarginine dimethylaminohydrolase; NG,NG dimethylarginine dimethylaminohydrolase; RP4-621F18.1
Gene Symbols DDAH1
Host Species Mouse
Immunogen Recombinant human DDAH1 (immunogen range is 41-130).
Purification Method Protein A
Quantity 200 μL
Regulatory Status RUO
Primary or Secondary Primary
Gene ID (Entrez) 23576, 64157, 69219
Target Species Human, Mouse, Rat
Content And Storage Store at 4°C short term. For long term storage, store at -20°C, avoiding freeze/thaw cycles.
Product Type Antibody
Form Liquid
Isotype IgG1
Show More Show Less