missing translation for 'onlineSavingsMsg'
Learn More
Learn More
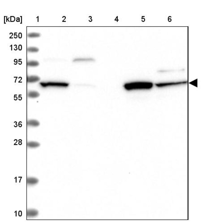
Invitrogen™ DAK Polyclonal Antibody

Rabbit Polyclonal Antibody
Supplier: Invitrogen™ PA558810
Description
Immunogen sequence: SVPGSKPTFE LSADEVELGL GIHGEAGVRR IKMATADEIV KLMLDHMTNT TNASHVPVQP GSSVVMMVNN LGGLSFLELG IIADATVRSL EGRGVKIARA Highest antigen sequence identity to the following orthologs: Mouse - 79%, Rat - 81%.
This gene is a member of the family of dihydroxyacetone kinases, which have a protein structure distinct from other kinases. The product of this gene phosphorylates dihydroxyacetone, and also catalyzes the formation of riboflavin 4',5'-phosphate (aka cyclin FMN) from FAD. Several alternatively spliced transcript variants have been identified, but the full-length nature of only one has been determined.Chemical Identifiers
| DAK | |
| Store at 4°C short term. For long term storage, store at -20°C, avoiding freeze/thaw cycles. | |
| Polyclonal | |
| Liquid | |
| IgG | |
| Human | |
| TKFC | |
| ATP-dependent dihydroxyacetone kinase; BC021917; bifunctional ATP-dependent dihydroxyacetone kinase/FAD-AMP lyase (cyclizing); Dak; DHA kinase; Dha kinase/FMN cyclase; dihydroxyacetone kinase 2 homolog; dihydroxyacetone kinase 2 homolog (S. cerevisiae); DKFZP586B1621; DKFZP586B1621 protein; FAD-AMP lyase (cyclic FMN forming); FAD-AMP lyase (cyclizing); FAD-AMP lyase cyclic FMN forming; FAD-AMP lyase cyclizing; FMN cyclase; Glycerone kinase; MGC5621; NET45; RGD1311026; testis tissue sperm-binding protein Li 84P; TKFC; Triokinase; triokinase and FMN cyclase; triokinase, FMN cyclase; triokinase/FMN cyclase; Triose kinase; zgc:153296 | |
| TKFC | |
| Primary | |
| Antigen affinity chromatography |
| 0.3 mg/mL | |
| Immunohistochemistry (Paraffin), Western Blot, Immunocytochemistry | |
| Unconjugated | |
| Rabbit | |
| RUO | |
| PBS with 40% glycerol and 0.02% sodium azide; pH 7.2 | |
| Q3LXA3 | |
| 26007 | |
| Recombinant protein corresponding to Human DAK. Recombinant protein control fragment (Product #RP-97389). | |
| Antibody |
Specifications
| DAK | |
| Polyclonal | |
| Unconjugated | |
| TKFC | |
| ATP-dependent dihydroxyacetone kinase; BC021917; bifunctional ATP-dependent dihydroxyacetone kinase/FAD-AMP lyase (cyclizing); Dak; DHA kinase; Dha kinase/FMN cyclase; dihydroxyacetone kinase 2 homolog; dihydroxyacetone kinase 2 homolog (S. cerevisiae); DKFZP586B1621; DKFZP586B1621 protein; FAD-AMP lyase (cyclic FMN forming); FAD-AMP lyase (cyclizing); FAD-AMP lyase cyclic FMN forming; FAD-AMP lyase cyclizing; FMN cyclase; Glycerone kinase; MGC5621; NET45; RGD1311026; testis tissue sperm-binding protein Li 84P; TKFC; Triokinase; triokinase and FMN cyclase; triokinase, FMN cyclase; triokinase/FMN cyclase; Triose kinase; zgc:153296 | |
| Rabbit | |
| Antigen affinity chromatography | |
| RUO | |
| 26007 | |
| Store at 4°C short term. For long term storage, store at -20°C, avoiding freeze/thaw cycles. | |
| Liquid |
| Immunohistochemistry (Paraffin), Western Blot, Immunocytochemistry | |
| 0.3 mg/mL | |
| PBS with 40% glycerol and 0.02% sodium azide; pH 7.2 | |
| Q3LXA3 | |
| TKFC | |
| Recombinant protein corresponding to Human DAK. Recombinant protein control fragment (Product #RP-97389). | |
| 100 μL | |
| Primary | |
| Human | |
| Antibody | |
| IgG |