missing translation for 'onlineSavingsMsg'
Learn More
Learn More
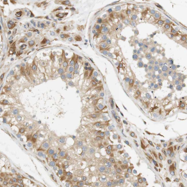
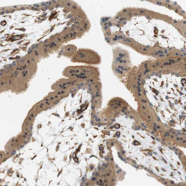
Invitrogen™ Cytohesin 3 Polyclonal Antibody

Rabbit Polyclonal Antibody
Supplier: Invitrogen™ PA582492
Description
Immunogen sequence: DEDGGGEGGG VPEDLSLEER EELLDIRRRK KELIDDIERL KYEIAEVMTE IDNLTSVEES KTTQRNKQIA M Highest antigen sequence indentity to the following orthologs: Mouse - 97%, Rat - 86%.
GRP1 (general receptor for phosphoinositides-1) contains a Pleckstrin homology (PH) domain as well as a Sec7 domain. The PH domain has high binding affinity for phosphatidylinositol 3,4,5-trisphosphate Ptdlns(3,4,5)P3), while the Sec7 homology domain is responsible for catalyzing guanine nucleotide exchange of ADP-ribosylation factor (ARF) proteins. GRP1 co-localizes with ARF6 and catalyzes GTP/GDP exchange on ARF6. It is known to interact with Ptdlns(3,4,5)P3 localized to the plasma membrane in vitro and may also be a Ptdlns(3,4,5)P3 receptor. Additionally, GRP1 may regulate protein sorting and membrane trafficking through interaction with the guanosine triphosphate ARF, and may control cell adhesion through interaction with integrins.Chemical Identifiers
| Cytohesin 3 | |
| Store at 4°C short term. For long term storage, store at -20°C, avoiding freeze/thaw cycles. | |
| Polyclonal | |
| Liquid | |
| IgG | |
| Human | |
| Cyth3 | |
| AI648983; ARF nucleotide-binding site opener 3; ARNO3; CLM3; CYTH3; cytohesin 3; cytohesin-3; General receptor of phosphoinositides 1; GRP1; mSec7-3; PH, SEC7 and coiled-coil domain-containing protein 3; pleckstrin homology, Sec7 and coiled/coil domains 3; pleckstrin homology, Sec7 and coiled-coil domains 3; Protein ARNO3; PSCD3; rSec7-3; Sec7; SEC7 homolog C; Sec7C | |
| Cyth3 | |
| Primary | |
| Antigen affinity chromatography |
| 0.3 mg/mL | |
| Immunohistochemistry (Paraffin), Western Blot | |
| Unconjugated | |
| Rabbit | |
| RUO | |
| PBS with 40% glycerol and 0.02% sodium azide; pH 7.2 | |
| O43739 | |
| 9265 | |
| Recombinant protein corresponding to Human CYTH3. Recombinant protein control fragment (Product #RP-90693). | |
| Antibody |
Specifications
| Cytohesin 3 | |
| Polyclonal | |
| Unconjugated | |
| Cyth3 | |
| AI648983; ARF nucleotide-binding site opener 3; ARNO3; CLM3; CYTH3; cytohesin 3; cytohesin-3; General receptor of phosphoinositides 1; GRP1; mSec7-3; PH, SEC7 and coiled-coil domain-containing protein 3; pleckstrin homology, Sec7 and coiled/coil domains 3; pleckstrin homology, Sec7 and coiled-coil domains 3; Protein ARNO3; PSCD3; rSec7-3; Sec7; SEC7 homolog C; Sec7C | |
| Rabbit | |
| Antigen affinity chromatography | |
| RUO | |
| 9265 | |
| Store at 4°C short term. For long term storage, store at -20°C, avoiding freeze/thaw cycles. | |
| Liquid |
| Immunohistochemistry (Paraffin), Western Blot | |
| 0.3 mg/mL | |
| PBS with 40% glycerol and 0.02% sodium azide; pH 7.2 | |
| O43739 | |
| Cyth3 | |
| Recombinant protein corresponding to Human CYTH3. Recombinant protein control fragment (Product #RP-90693). | |
| 100 μL | |
| Primary | |
| Human | |
| Antibody | |
| IgG |