missing translation for 'onlineSavingsMsg'
Learn More
Learn More
Invitrogen™ Complement C4b Polyclonal Antibody

Rabbit Polyclonal Antibody
Supplier: Invitrogen™ PA5150199
Description
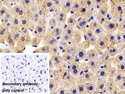
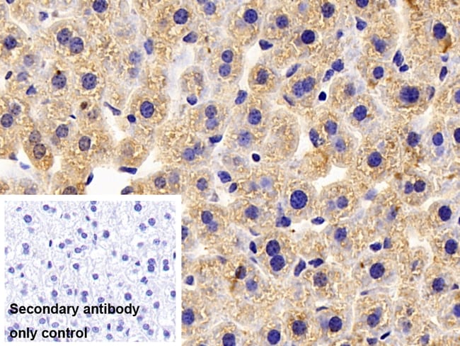
Complement C4b Polyclonal Antibody for Western Blot, ICC/IF, IHC (P)
This gene encodes the basic form of complement factor 4, part of the classical activation pathway. The protein is expressed as a single chain precursor which is proteolytically cleaved into a trimer of alpha, beta, and gamma chains prior to secretion. The trimer provides a surface for interaction between the antigen-antibody complex and other complement components. The alpha chain may be cleaved to release C4 anaphylatoxin, a mediator of local inflammation. Deficiency of this protein is associated with systemic lupus erythematosus. This gene localizes to the major histocompatibility complex (MHC) class III region on chromosome 6. Varying haplotypes of this gene cluster exist, such that individuals may have 1, 2, or 3 copies of this gene. In addition, this gene exists as a long form and a short form due to the presence or absence of a 6.4 kb endogenous HERV-K retrovirus in intron 9.Chemical Identifiers
| Complement C4b | |
| Store at 4°C short term. For long term storage, store at -20°C, avoiding freeze/thaw cycles. | |
| Polyclonal | |
| Liquid | |
| RUO | |
| PBS with 50% glycerol and 0.05% ProClin 300; pH 7.4 | |
| P01029, P0C0L5 | |
| 100293534, 12268, 721 | |
| Recombinant Complement C4-B (C4B). | |
| Antibody |
| 0.5 mg/mL | |
| Immunohistochemistry (Paraffin), Western Blot, Immunocytochemistry | |
| Unconjugated | |
| Rabbit | |
| Human, Mouse | |
| C4B | |
| Acidic complement C4; Basic complement C4; C3 and PZP-like alpha-2-macroglobulin domain-containing protein 2; C3 and PZP-like alpha-2-macroglobulin domain-containing protein 3; c4 complement; C4A; C4a anaphylatoxin; C4A13; C4A91; C4B; C4B_2; C4B1; C4B12; C4B2; C4B3; C4B5; C4b-A; C4b-B; C4BD; C4d-A; C4d-B; C4F; CH; Chido form of C4; CO4; Complement C4 beta chain; Complement C4 gamma chain; Complement C4-A; Complement C4-A alpha chain; Complement C4-B; Complement C4-B alpha chain; complement C4B1a; complement C4-B-like; complement component 4B (Chido blood group); complement component 4B (Chido blood group), copy 2; CPAMD2; CPAMD3; DADB-112B14.11; FLJ60561; MGC164979 | |
| C4B, C4B_2 | |
| Primary | |
| Affinity chromatography |
Specifications
| Complement C4b | |
| Polyclonal | |
| Unconjugated | |
| C4B | |
| Acidic complement C4; Basic complement C4; C3 and PZP-like alpha-2-macroglobulin domain-containing protein 2; C3 and PZP-like alpha-2-macroglobulin domain-containing protein 3; c4 complement; C4A; C4a anaphylatoxin; C4A13; C4A91; C4B; C4B_2; C4B1; C4B12; C4B2; C4B3; C4B5; C4b-A; C4b-B; C4BD; C4d-A; C4d-B; C4F; CH; Chido form of C4; CO4; Complement C4 beta chain; Complement C4 gamma chain; Complement C4-A; Complement C4-A alpha chain; Complement C4-B; Complement C4-B alpha chain; complement C4B1a; complement C4-B-like; complement component 4B (Chido blood group); complement component 4B (Chido blood group), copy 2; CPAMD2; CPAMD3; DADB-112B14.11; FLJ60561; MGC164979 | |
| Rabbit | |
| Affinity chromatography | |
| RUO | |
| 100293534, 12268, 721 | |
| Store at 4°C short term. For long term storage, store at -20°C, avoiding freeze/thaw cycles. | |
| Liquid |
| Immunohistochemistry (Paraffin), Western Blot, Immunocytochemistry | |
| 0.5 mg/mL | |
| PBS with 50% glycerol and 0.05% ProClin 300; pH 7.4 | |
| P01029, P0C0L5 | |
| C4B, C4B_2 | |
| Recombinant Complement C4-B (C4B). | |
| 200 μL | |
| Primary | |
| Human, Mouse | |
| Antibody |