missing translation for 'onlineSavingsMsg'
Learn More
Learn More
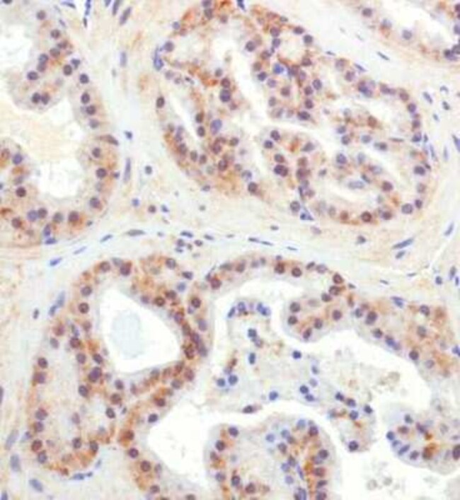
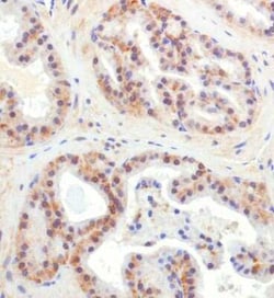
Invitrogen™ CHORDC1 Polyclonal Antibody

Rabbit Polyclonal Antibody
Supplier: Invitrogen™ PA572968
Description
CHORDC1 Polyclonal Antibody for Western Blot, IHC (P), ICC/IF
The cysteine and histidine-rich domain (CHORD)-containing protein (CHORDC1) is a member of a highly conserved protein family that contains the plant protein RAR1 and the mammalian protein melusin. In mammals, CHORDC1 is an ADP-dependent HSP90-interacting protein, and this interaction is dependent on the ability of HSP90 to bind nucleotides. Recent experiments indicate that CHORDC1 mRNA is diurnally regulated in mouse hypothalamus, and that this regulation alters during development, suggesting that CHORDC1 may play a role in circadian mechanisms in the mammalian brain.Chemical Identifiers
| CHORDC1 | |
| Store at 4°C short term. For long term storage, store at -20°C, avoiding freeze/thaw cycles. | |
| Polyclonal | |
| Liquid | |
| IgG | |
| Human, Mouse | |
| CHORDC1 | |
| 1110001O09Rik; AA409036; chord domain-containing protein 1; CHORDC1; chordc1b; CHORD-containing protein 1; CHP1; CHP-1; cysteine and histidine rich domain containing 1; cysteine and histidine-rich domain (CHORD) containing 1; cysteine and histidine-rich domain (CHORD) containing 1b; cysteine and histidine-rich domain (CHORD)-containing 1; cysteine and histidine-rich domain (CHORD)-containing, zinc binding protein 1; cysteine and histidine-rich domain (CHORD)-containing, zinc-binding protein 1; cysteine and histidine-rich domain-containing protein 1; MGC137302 protein; morgana; Protein morgana; zgc:63894 | |
| CHORDC1 | |
| Primary | |
| Antigen affinity chromatography |
| 0.65 mg/mL | |
| Immunohistochemistry (Paraffin), Western Blot, Immunocytochemistry | |
| Unconjugated | |
| Rabbit | |
| RUO | |
| PBS with 30% glycerol and 0.05% sodium azide | |
| Q9D1P4, Q9UHD1 | |
| 26973, 66917 | |
| A synthetic peptide made to an internal portion of the human CHORDC1 protein (between residues 100-250). | |
| Antibody |
Specifications
| CHORDC1 | |
| Polyclonal | |
| Unconjugated | |
| CHORDC1 | |
| 1110001O09Rik; AA409036; chord domain-containing protein 1; CHORDC1; chordc1b; CHORD-containing protein 1; CHP1; CHP-1; cysteine and histidine rich domain containing 1; cysteine and histidine-rich domain (CHORD) containing 1; cysteine and histidine-rich domain (CHORD) containing 1b; cysteine and histidine-rich domain (CHORD)-containing 1; cysteine and histidine-rich domain (CHORD)-containing, zinc binding protein 1; cysteine and histidine-rich domain (CHORD)-containing, zinc-binding protein 1; cysteine and histidine-rich domain-containing protein 1; MGC137302 protein; morgana; Protein morgana; zgc:63894 | |
| Rabbit | |
| Antigen affinity chromatography | |
| RUO | |
| 26973, 66917 | |
| Store at 4°C short term. For long term storage, store at -20°C, avoiding freeze/thaw cycles. | |
| Liquid |
| Immunohistochemistry (Paraffin), Western Blot, Immunocytochemistry | |
| 0.65 mg/mL | |
| PBS with 30% glycerol and 0.05% sodium azide | |
| Q9D1P4, Q9UHD1 | |
| CHORDC1 | |
| A synthetic peptide made to an internal portion of the human CHORDC1 protein (between residues 100-250). | |
| 100 μL | |
| Primary | |
| Human, Mouse | |
| Antibody | |
| IgG |