missing translation for 'onlineSavingsMsg'
Learn More

Invitrogen™ CD8 alpha Recombinant Rabbit Monoclonal Antibody (23GB1420)

Catalog No. MA552519
Change view
Click to view available options
Quantity:
20 μL
100 μL
2 product options available for selection
Product selection table with 2 available options. Use arrow keys to navigate and Enter or Space to select.
Catalog No. Quantity
MA552519 20 μL
MA552518 100 μL
Use arrow keys to navigate between rows. Press Enter or Space to select a product option. 2 options available.
2 options
Catalog No. MA552519 Supplier Invitrogen™ Supplier No. MA552519
Only null left

Rabbit Recombinant Monoclonal Antibody

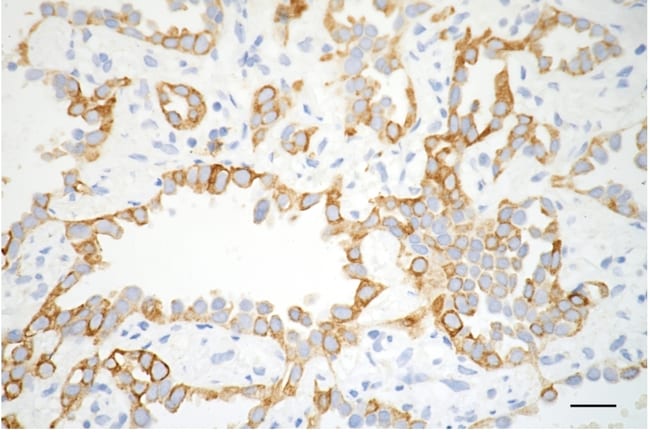
CD8 alpha Recombinant Monoclonal Antibody for Flow, ICC/IF, IHC (P), Western Blot

CD8, also known as cluster of differentiation 8, is a type I transmembrane glycoprotein of the immunoglobulin family that plays a crucial role in T cell differentiation, activation, and signal transduction. It is expressed as either a heterodimer (CD8 alpha beta) or a homodimer (CD8 alpha alpha). The CD8 alpha beta form is predominantly found on the majority of thymocytes and a subpopulation of mature alpha beta TCR T cells, while the CD8 alpha alpha form is expressed on gamma delta TCR T cells, a subset of intestinal intraepithelial lymphocytes (IELs), and dendritic cells. CD8 functions as a co-receptor for major histocompatibility complex class I (MHC-I) molecules, working alongside the T cell receptor (TCR). The CD8 alpha chain is essential for binding to MHC-I. CD8 is also expressed on a subset of T cells, NK cells, monocytes, and dendritic cells as disulfide-linked homodimers of CD8 alpha. Upon ligation of MHC-I/peptide complexes presented by antigen-presenting cells (APCs), CD8 recruits lymphocyte-specific protein tyrosine kinase (Lck), leading to lymphokine production, increased motility, and activation of cytotoxic T lymphocytes (CTLs). Activated CTLs are vital for clearing pathogens and tumor cells. The differentiation of naive CD8+ T cells into CTLs is strongly enhanced by cytokines such as IL-2, IL-12, and TGF-beta1. Through its interactions with MHC-I and association with protein tyrosine kinase p56lck, CD8 plays a significant role in T cell development and the activation of mature T cells.

Specifications

Antigen CD8 alpha
Applications Flow Cytometry, Immunohistochemistry (Paraffin), Western Blot, Immunocytochemistry
Classification Recombinant Monoclonal
Clone 23GB1420
Concentration 0.6 mg/mL
Conjugate Unconjugated
Formulation PBS with 50% glycerol and 0.02% sodium azide; pH 7.4
Gene Cd8a
Gene Accession No. P01731, P01732, P05541, P07725, P10300, P10966
Gene Alias BB154331; CD8; CD8 alpha; CD8 alpha chain; CD8 alpha chain precursor; CD8 antigen; CD8 antigen 32 kDa chain; CD8 antigen 37 kDa chain; CD8 antigen alpha polypeptide; CD8 antigen alpha protein; CD8 antigen alpha protein precursor; CD8 antigen alpha-chain; CD8 antigen beta polypeptide; CD8 antigen beta polypeptide precursor; CD8 antigen beta-chain; CD8 antigen, alpha chain; CD8 antigen, alpha polypeptide; CD8 antigen, alpha polypeptide (p32); CD8 antigen, alpha-chain; CD8 antigen, beta chain; CD8 antigen, beta chain 1; CD8 antigen, beta polypeptide; CD8 antigen, beta polypeptide 1 (p37); CD8 antigen, beta-chain; CD8 beta; CD8 beta chain; CD8 beta-2; CD8a; CD8A antigen alpha; CD8a molecule; CD8A; T-cell surface glycoprotein; CD8alpha; CD8B; CD8b antigen; CD8b molecule; CD8b molecule pseudogene; Cd8b1; CD8beta; CD8BP; fCD8; LEU2; Leu-2; Leu2 T-lymphocyte antigen; leu-2a; Ly-2; LY3; Ly-3; Ly-35; Ly-B; Ly-C; Lymphocyte antigen 3; Lyt2; Lyt-2; Lyt-2.1 lymphocyte differentiation antigen (AA at 100); Lyt3; Lyt-3; MAL; membrane glycoprotein; membrane protein; OKT8 T-cell antigen; OX-8 membrane antigen; p32; P37; RHACD8-4; T cell co-receptor; T lymphocyte surface glycoprotein beta chain; T8 T-cell antigen; T-cell antigen Leu2; T-cell membrane glycoprotein Ly-3; T-cell surface glycoprotein; T-cell surface glycoprotein CD8 alpha chain; T-cell surface glycoprotein CD8 beta chain; T-cell surface glycoprotein Lyt-2; T-cell surface glycoprotein Lyt-3; T-cell surface molecule; T-lymphocyte differentiation antigen T8/Leu-2; type I transmembrane glycoprotein
Gene Symbols Cd8a, CD8B, Cd8b1
Host Species Rabbit
Immunogen A synthesized peptide derived from human CD8 (200-235AA).
Purification Method Affinity chromatography
Quantity 20 μL
Regulatory Status RUO
Primary or Secondary Primary
Gene ID (Entrez) 12525, 12526, 24930, 24931, 925, 926
Target Species Human, Mouse, Rat
Content And Storage -20°C
Product Type Antibody
Form Liquid
Isotype IgG
Show More Show Less