missing translation for 'onlineSavingsMsg'
Learn More

Invitrogen™ p53 Monoclonal Antibody (PAb 1801) DFS Item

Mouse Monoclonal Antibody

Supplier:  Invitrogen™ LS134000

Catalog No. 134000


Only null left
Explore available promotions

Description

Description

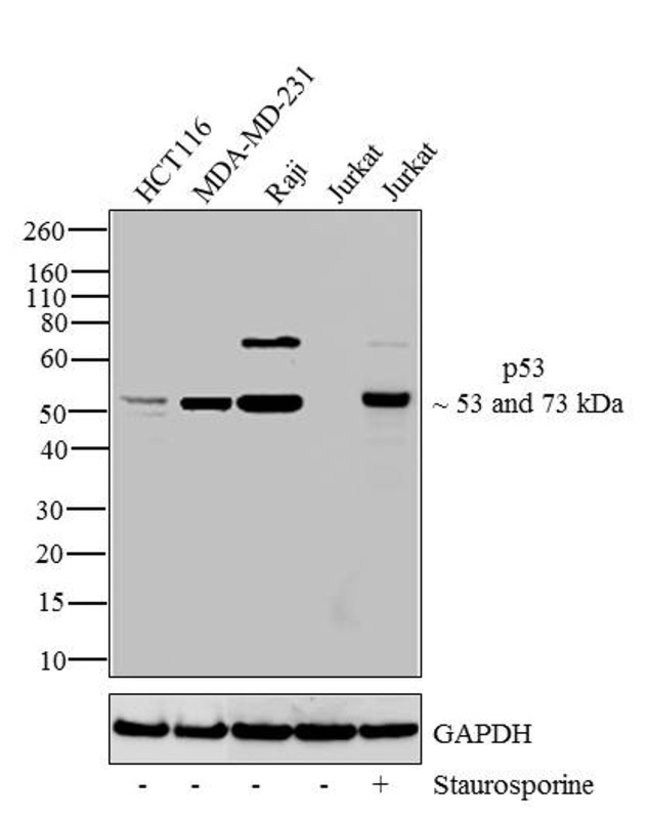
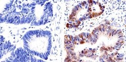
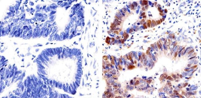
p53 Monoclonal Antibody for Western Blot, IHC (P), IP

The tumor suppressor protein, p53, is a sequence specific transcription factor that is activated by cellular stress. p53 mediates cell cycle arrest or apoptosis in response to DNA damage or starvation for pyrimidine nucleotides. p53 is up-regulated in response to stress signals and stimulated to activate transcription of specific genes, resulting in expression of p21waf1 and other proteins involved in G1 or G2/M arrest. The structure of p53 comprises an N-terminal transactivation domain, a central DNA-binding domain, an oligomerisation domain, and a C-terminal regulatory domain. There are various phosphorylation sites on p53, of which the phosphorylation at Ser15 is important for p53 activation and stabilization. p53 has been characterized to play a role in blocking the proliferative action of damaged cells and act as an anticancer agent. Phosphorylation of Ser392 in p53 has been shown to associate with the formation of human tumors. In addition, p53 has also been linked to the effects of aging and oxidative stress and an increase in p53 has been linked to deficits in LTP (Long Term Potentiation) in learning and memory. p53 is found in very low levels in normal cells, however, in a variety of transformed cell lines, it is expressed in high amounts, and believed to contribute to transformation and malignancy. Mutants of p53 that frequently occur in a number of different human cancers fail to bind the consensus DNA binding site, and cause the loss of tumor suppressor activity. Alterations of the TP53 gene occur not only as somatic mutations in human malignancies, but also as germline mutations in some cancer-prone families such as Li-Fraumeni syndrome.
Specifications

Specifications

p53
Monoclonal
0.5 mg/mL
PBS with 0.1% sodium azide; pH 7.4
P04637
Tp53
Recombinant p53 peptide.
200 μg
Primary
Human
Antibody
IgG1 κ
Immunohistochemistry (Paraffin), Immunoprecipitation, Western Blot
PAb 1801
Unconjugated
Tp53
Antigen NY-CO-13; bbl; BCC7; bfy; bhy; cellular tumor antigen p53; Cys 51 Stop; EGK_08142; FLJ92943; HGNC11998; I79_002739; LFS1; Li-Fraumeni syndrome; mutant p53; mutant tumor protein 53; OTTMUSP00000006194; p44; p53; p53 cellular tumor antigen; p53 protein; p53 tumor suppressor; p53 tumor suppressor phosphoprotein; phosphoprotein p53; Tp53; tp53.L; transformation related protein 53; transformation-related protein 53; Trp248; Trp53; tumor protein 53; tumor protein p53; tumor protein p53 (Li-Fraumeni syndrome); tumor protein p53 L homeolog; tumor suppressor p53; tumor suppressor p53 phosphoprotein; tumor suppressor protein p53; tumor supressor p53; Tumour Protein p53; XELAEV_180196761mg; Xp53; Xrel3
Mouse
Purified
RUO
7157
-20°C
Liquid
Product Suggestions

Product Suggestions

Videos
SDS
Documents

Documents

Promotions

Promotions