missing translation for 'onlineSavingsMsg'
Learn More

Kruppel-like factor 11, Mouse, Clone: 10D8, Abnova™

Mouse monoclonal antibody raised against a partial recombinant KLF11.

Supplier:  Abnova Corporation H00008462M03

Catalog No. 89-001-082


Only null left
Explore available promotions

Description

Description

Sequence: TYFKSSHLKAHLRTHTGEKPFNCSWDGCDKKFARSDELSRHRRTHTGEKKFVCPVCDRRFMRSDHLTKHARRHMTTKKIPGWQAEVGKLNRIASAESPGSPLVSMPASA
Specifications

Specifications

Kruppel-like factor 11
Monoclonal
Unconjugated
PBS with no preservative; pH 7.4
NM_003597
KLF11
KLF11 (NP_003588, 404 a.a. ∼ 512 a.a) partial recombinant protein with GST tag. MW of the GST tag alone is 26 KDa.
100 μg
Cell Cycle
Primary
Human, Mouse, Rat
Antibody
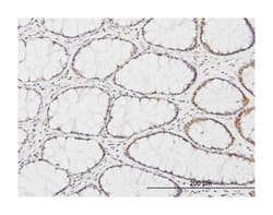
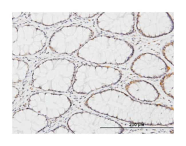
ELISA, Immunofluorescence, Immunohistochemistry (PFA fixed), Western Blot
10D8
Mouse monoclonal antibody raised against a partial recombinant KLF11.
KLF11
FKLF/FKLF1/MODY7/TIEG2/Tieg3
Mouse
Affinity Purified
RUO
Yes
8462
Store at -20°C or lower. Aliquot to avoid repeated freezing and thawing.
IgG2a κ
Product Suggestions

Product Suggestions

Videos
SDS
Documents

Documents

Promotions

Promotions