missing translation for 'onlineSavingsMsg'
Learn More

hydroxyacyl-Coenzyme A dehydrogenase, Mouse, Clone: 4B5, Abnova™

Mouse monoclonal antibody raised against a partial recombinant HADHSC.

Supplier:  Abnova Corporation H00003033M01

Catalog No. 89-014-123


Only null left
Explore available promotions

Description

Description

This gene is a member of the 3-hydroxyacyl-CoA dehydrogenase gene family. The encoded protein functions in the mitochondrial matrix to catalyze the oxidation of straight-chain 3-hydroxyacyl-CoAs as part of the beta-oxidation pathway. Its enzymatic activity is highest with medium-chain-length fatty acids. Mutations in this gene cause one form of familial hyperinsulinemic hypoglycemia. The human genome contains a related pseudogene. [provided by RefSeq

Sequence: GKHPVSCKDTPGFIVNRLLVPYLMEAIRLYERGDASKEDIDTAMKLGAGYPMGPFELLDYVGLDTTKFIVDGWHEMDAENPLHQPSPSLNKLVAENKFGKKTGEGFYKYK
Specifications

Specifications

hydroxyacyl-Coenzyme A dehydrogenase
Monoclonal
Unconjugated
PBS with no preservative; pH 7.4
NM_005327
HADH
HADHSC (NP_005318, 205 a.a. ∼ 314 a.a) partial recombinant protein with GST tag. MW of the GST tag alone is 26 KDa.
100 μg
Primary
Human
Antibody
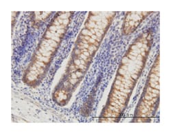
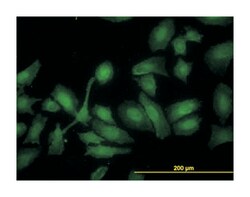
ELISA, Immunofluorescence, Immunohistochemistry (PFA fixed), Immunoprecipitation, Western Blot
4B5
Mouse monoclonal antibody raised against a partial recombinant HADHSC.
HADH
HAD/HADH1/HADHSC/HHF4/M/SCHAD/MGC8392/SCHAD
Mouse
Affinity Purified
RUO
3033
Store at -20°C or lower. Aliquot to avoid repeated freezing and thawing.
IgG2b κ
Product Suggestions

Product Suggestions

Videos
SDS
Documents

Documents

Promotions

Promotions