missing translation for 'onlineSavingsMsg'
Learn More
Learn More
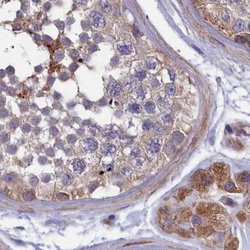
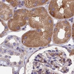
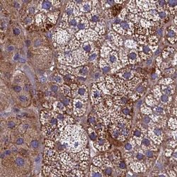
Invitrogen™ AMDHD2 Polyclonal Antibody

Description
Immunogen sequence: FITHLFNAML PFHHRDPGIV GLLTSDRLPA GRCIFYGMIA DGTHTNPAAL RIAHRAHPQG LVLVTDAIPA LGLGNGRHTL GQQEVEVDGL T Highest antigen sequence identity to the following orthologs: Mouse - 93%, Rat - 93%.
Hydrolyzes the N-glycolyl group from N-glycolylglucosamine 6-phosphate (GlcNGc-6-P) in the N-glycolylneuraminic acid (Neu5Gc) degradation pathway. Although human is not able to catalyze formation of Neu5Gc due to the inactive CMAHP enzyme, Neu5Gc is present in food and must be degraded.
Specifications
Specifications
| Antigen | AMDHD2 |
| Applications | Immunohistochemistry (Paraffin), Immunocytochemistry |
| Classification | Polyclonal |
| Concentration | 0.4 mg/mL |
| Conjugate | Unconjugated |
| Formulation | PBS with 40% glycerol and 0.02% sodium azide; pH 7.2 |
| Gene | AMDHD2 |
| Gene Accession No. | Q9Y303 |
| Gene Alias | 5730457F11Rik; AMDHD2; amidohydrolase domain containing 2; amidohydrolase domain-containing protein 2; CGI-14; GlcNAc 6-P deacetylase; N-acetylglucosamine-6-phosphate deacetylase; putative N-acetylglucosamine-6-phosphate deacetylase |
| Gene Symbols | AMDHD2 |
| Show More |