missing translation for 'onlineSavingsMsg'
Learn More
Learn More
Invitrogen™ alpha Tubulin Polyclonal Antibody

Rabbit Polyclonal Antibody
Supplier: Invitrogen™ PA585922
Description
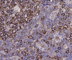
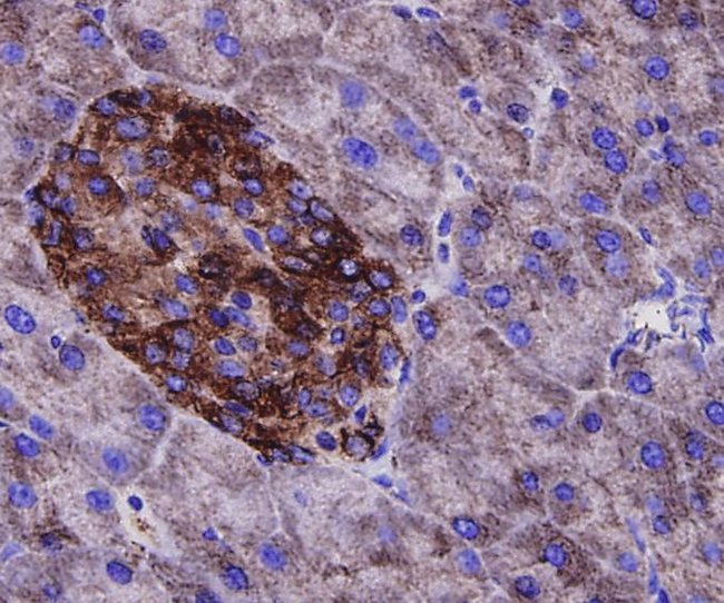
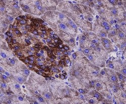
alpha Tubulin Polyclonal Antibody for Western Blot, ICC/IF, IHC (P), Flow
Alpha Tubulin is a part of a heterodimer consisting of alpha and beta tubulin subunits. The alpha and beta tubulins, which are each about 55 kDa MW, are homologous but not identical. Alpha-beta tubulin heterodimer is the basic building block of microtubules, and this intracellular cylindrical filamentous structure is present in almost eukaryotic cells. Microtubules serve as structural supports and lines of transport within the cell, as well as serving a key role in mitosis. Microtubules of the eukaryotic cytoskeleton perform essential and diverse functions and are composed of a heterodimer of alpha and beta tubulins. The alpha and beta tubulins represent the major components of microtubules, while gamma tubulin plays a critical role in the nucleation of microtubule assembly. There are multiple alpha and beta tubulin genes, which are highly conserved among species. The gene that encodes alpha tubulin is highly similar to the mouse and rat Tuba1 gene. Northern blotting studies have shown that the gene expression is predominantly found in morphologically differentiated neurologic cells.Chemical Identifiers
| alpha Tubulin | |
| Store at 4°C short term. For long term storage, store at -20°C, avoiding freeze/thaw cycles. | |
| Polyclonal | |
| Liquid | |
| IgG | |
| Human, Mouse, Rat, Zebrafish | |
| TUBAL3 | |
| 1t; a1t; ALPHA 84C; alpha tubulin; alpha tubulin 84B; alpha[[1]] tubulin; alpha[[1]]-tubulin; alpha1; alpha1 tubulin; alpha1t; alpha1tub; alpha1tub84B; alpha1-tubulin; alpha84B; alphaT; alphat-1; alphatub; alpha-tub; alphaTub1; alphatub84; alphaTUB84B; alpha-tub84B; alphaTub84B-PA; alphatubulin; alpha-tubulin; Alpha-tubulin 1; Alpha-tubulin 2; Alpha-tubulin 3; Alpha-tubulin 3C; alpha-tubulin 3C/D; Alpha-tubulin 3D; Alpha-tubulin 3E; alpha-tubulin 4; Alpha-tubulin 6; alphaTubulin 84B; alpha-tubulin 84B; alpha-Tubulin at 84B; alpha-tubulin I; Alpha-tubulin II; alpha-tubulin III; Alpha-tubulin isotype M-alpha-1; alpha-tubulin isotype M-alpha-2; Alpha-tubulin isotype M-alpha-4; alpha-tubulin isotype M-alpha-6; alpha-tubulin TUB1; alpha-tubulin ubiquitous; alphaTubulin84B; Alpha-Tubulin84B; ALS22; anon-EST:Liang-1.59; anon-EST:Liang-2.30; AT25469p; aTub84B; a-tub84B; bA408E5.3; B-ALPHA-1; bcm948; BEST:LD32507; cb944; CG1913; CG1913-PA; chr3R:2914276..2914416; clone 1.59; clone 2.30; Detyrosinated tubulin alpha-1A chain; Detyrosinated tubulin alpha-1B chain; Detyrosinated tubulin alpha-1C chain; Detyrosinated tubulin alpha-3 chain; Detyrosinated tubulin alpha-3C chain; Detyrosinated tubulin alpha-3D chain; Detyrosinated tubulin alpha-3E chain; DM1alpha; Dmel\CG1913; Dmel_CG1913; DTA1; fb22g06; FLJ30169; H2 ALPHA; H2-ALPHA; hum-a-tub1; hum-a-tub2; I79_019110; K-ALPHA-1; l(3)84Bd; l(3)g3; lis3; LOC100726777; LOC100731885; LOC100857858; LOC101118307; LOC106557476; M[a]4; M[a]6; ms(3)nc33; nc33; RGD1565476; similar to alpha-tubulin isoform 1; similar to tubulin alpha 1; T; Talpha1; Talpha1 alpha-tubulin; TBA1_DROME; Testis-specific alpha-tubulin; Tub; Tub 84B; TUB1; Tub1C; Tub84B; TUBA1; Tuba-1; tuba1 protein; TUBA1/3/4; Tuba1a; tuba1a.L; tuba1a-a; tuba1a-b; TUBA1B; TUBA1C; tuba1l; tuba1l2; TUBA2; TUBA3; TUBA3C; TUBA3D; TUBA3E; Tuba4; Tuba4a; TUBA5; Tuba6; tuba8.S; tubA84B; tubal2; Tubalpha1; tubulin; tubulin 1 alpha-chain; tubulin 1alpha; tubulin alpha; tubulin alpha 1a; tubulin alpha 1a L homeolog; tubulin alpha 1b; tubulin alpha 1c; tubulin alpha 3; tubulin alpha 3c; tubulin alpha 3e; tubulin alpha 4a; tubulin alpha 6; tubulin alpha 8 S homeolog; tubulin alpha1; tubulin alpha-1 chain; tubulin alpha1 promoter; Tubulin alpha-1A chain; tubulin alpha-1B chain; Tubulin alpha-1C chain; tubulin alpha-1C chain-like; tubulin alpha-2 chain; Tubulin alpha-3 chain; Tubulin alpha-3C chain; tubulin alpha-3C/D chain; Tubulin alpha-3D chain; Tubulin alpha-3E chain; tubulin alpha-4 chain; Tubulin alpha-4A chain; Tubulin alpha-5 chain; tubulin alpha-5 chain-like; tubulin alpha-6 chain; tubulin alpha-8 chain; tubulin alpha-ubiquitous chain; tubulin B-alpha-1; Tubulin H2-alpha; tubulin K-alpha-1; tubulin(alpha1); tubulin, alpha 1; tubulin, alpha 1 (testis specific); tubulin, alpha 1, like; tubulin, alpha 1, like 2; tubulin, alpha 1a; tubulin, alpha 1b; tubulin, alpha 1c; tubulin, alpha 2; tubulin, alpha 3c; tubulin, alpha 3e; tubulin, alpha 4; tubulin, alpha 4a; tubulin, alpha 5; tubulin, alpha 6; tubulin, alpha, brain-specific; tubulin, alpha, ubiquitous; tubulin1alpha; tubulin84B; Tubulin-alpha1; Unknown (protein for MGC:133894); unnamed protein product; wu:fb22g06; wu:fb37a10; XELAEV_18019849mg; XELAEV_18020901mg; YML085C | |
| Tuba1a, Tuba1b, TUBA1C, TUBA3C, TUBA3E, TUBA4A, TUBAL3, TUBB2B | |
| Primary | |
| Antigen affinity chromatography |
| 1 mg/mL | |
| Flow Cytometry, Immunohistochemistry (Paraffin), Western Blot, Immunocytochemistry | |
| Unconjugated | |
| Rabbit | |
| RUO | |
| PBS with 0.2% BSA, 40% Glycerol and 0.05% sodium azide; pH 7.4 | |
| A6NHL2, P05213, P0DPH7, P68363, P68366, P68368, P68369, P68370, P68373, Q3KRE8, Q3UX10, Q5XIF6, Q6AYZ1, Q6P9V9, Q6PEY2, Q71U36, Q9BQE3, Q9BVA1, Q9CWF2 | |
| 10376, 112714, 22142, 22143, 22145, 22146, 238463, 291081, 291287, 300218, 316531, 347733, 373080, 500929, 573122, 573216, 641421, 64158, 7277, 7278, 73710, 7846, 79861, 84790 | |
| Synthetic peptide within Human Alpha-tubulin aa 402-451. | |
| Antibody |
Specifications
| alpha Tubulin | |
| Polyclonal | |
| Unconjugated | |
| TUBAL3 | |
| 1t; a1t; ALPHA 84C; alpha tubulin; alpha tubulin 84B; alpha[[1]] tubulin; alpha[[1]]-tubulin; alpha1; alpha1 tubulin; alpha1t; alpha1tub; alpha1tub84B; alpha1-tubulin; alpha84B; alphaT; alphat-1; alphatub; alpha-tub; alphaTub1; alphatub84; alphaTUB84B; alpha-tub84B; alphaTub84B-PA; alphatubulin; alpha-tubulin; Alpha-tubulin 1; Alpha-tubulin 2; Alpha-tubulin 3; Alpha-tubulin 3C; alpha-tubulin 3C/D; Alpha-tubulin 3D; Alpha-tubulin 3E; alpha-tubulin 4; Alpha-tubulin 6; alphaTubulin 84B; alpha-tubulin 84B; alpha-Tubulin at 84B; alpha-tubulin I; Alpha-tubulin II; alpha-tubulin III; Alpha-tubulin isotype M-alpha-1; alpha-tubulin isotype M-alpha-2; Alpha-tubulin isotype M-alpha-4; alpha-tubulin isotype M-alpha-6; alpha-tubulin TUB1; alpha-tubulin ubiquitous; alphaTubulin84B; Alpha-Tubulin84B; ALS22; anon-EST:Liang-1.59; anon-EST:Liang-2.30; AT25469p; aTub84B; a-tub84B; bA408E5.3; B-ALPHA-1; bcm948; BEST:LD32507; cb944; CG1913; CG1913-PA; chr3R:2914276..2914416; clone 1.59; clone 2.30; Detyrosinated tubulin alpha-1A chain; Detyrosinated tubulin alpha-1B chain; Detyrosinated tubulin alpha-1C chain; Detyrosinated tubulin alpha-3 chain; Detyrosinated tubulin alpha-3C chain; Detyrosinated tubulin alpha-3D chain; Detyrosinated tubulin alpha-3E chain; DM1alpha; Dmel\CG1913; Dmel_CG1913; DTA1; fb22g06; FLJ30169; H2 ALPHA; H2-ALPHA; hum-a-tub1; hum-a-tub2; I79_019110; K-ALPHA-1; l(3)84Bd; l(3)g3; lis3; LOC100726777; LOC100731885; LOC100857858; LOC101118307; LOC106557476; M[a]4; M[a]6; ms(3)nc33; nc33; RGD1565476; similar to alpha-tubulin isoform 1; similar to tubulin alpha 1; T; Talpha1; Talpha1 alpha-tubulin; TBA1_DROME; Testis-specific alpha-tubulin; Tub; Tub 84B; TUB1; Tub1C; Tub84B; TUBA1; Tuba-1; tuba1 protein; TUBA1/3/4; Tuba1a; tuba1a.L; tuba1a-a; tuba1a-b; TUBA1B; TUBA1C; tuba1l; tuba1l2; TUBA2; TUBA3; TUBA3C; TUBA3D; TUBA3E; Tuba4; Tuba4a; TUBA5; Tuba6; tuba8.S; tubA84B; tubal2; Tubalpha1; tubulin; tubulin 1 alpha-chain; tubulin 1alpha; tubulin alpha; tubulin alpha 1a; tubulin alpha 1a L homeolog; tubulin alpha 1b; tubulin alpha 1c; tubulin alpha 3; tubulin alpha 3c; tubulin alpha 3e; tubulin alpha 4a; tubulin alpha 6; tubulin alpha 8 S homeolog; tubulin alpha1; tubulin alpha-1 chain; tubulin alpha1 promoter; Tubulin alpha-1A chain; tubulin alpha-1B chain; Tubulin alpha-1C chain; tubulin alpha-1C chain-like; tubulin alpha-2 chain; Tubulin alpha-3 chain; Tubulin alpha-3C chain; tubulin alpha-3C/D chain; Tubulin alpha-3D chain; Tubulin alpha-3E chain; tubulin alpha-4 chain; Tubulin alpha-4A chain; Tubulin alpha-5 chain; tubulin alpha-5 chain-like; tubulin alpha-6 chain; tubulin alpha-8 chain; tubulin alpha-ubiquitous chain; tubulin B-alpha-1; Tubulin H2-alpha; tubulin K-alpha-1; tubulin(alpha1); tubulin, alpha 1; tubulin, alpha 1 (testis specific); tubulin, alpha 1, like; tubulin, alpha 1, like 2; tubulin, alpha 1a; tubulin, alpha 1b; tubulin, alpha 1c; tubulin, alpha 2; tubulin, alpha 3c; tubulin, alpha 3e; tubulin, alpha 4; tubulin, alpha 4a; tubulin, alpha 5; tubulin, alpha 6; tubulin, alpha, brain-specific; tubulin, alpha, ubiquitous; tubulin1alpha; tubulin84B; Tubulin-alpha1; Unknown (protein for MGC:133894); unnamed protein product; wu:fb22g06; wu:fb37a10; XELAEV_18019849mg; XELAEV_18020901mg; YML085C | |
| Rabbit | |
| Antigen affinity chromatography | |
| RUO | |
| 10376, 112714, 22142, 22143, 22145, 22146, 238463, 291081, 291287, 300218, 316531, 347733, 373080, 500929, 573122, 573216, 641421, 64158, 7277, 7278, 73710, 7846, 79861, 84790 | |
| Store at 4°C short term. For long term storage, store at -20°C, avoiding freeze/thaw cycles. | |
| Liquid |
| Flow Cytometry, Immunohistochemistry (Paraffin), Western Blot, Immunocytochemistry | |
| 1 mg/mL | |
| PBS with 0.2% BSA, 40% Glycerol and 0.05% sodium azide; pH 7.4 | |
| A6NHL2, P05213, P0DPH7, P68363, P68366, P68368, P68369, P68370, P68373, Q3KRE8, Q3UX10, Q5XIF6, Q6AYZ1, Q6P9V9, Q6PEY2, Q71U36, Q9BQE3, Q9BVA1, Q9CWF2 | |
| Tuba1a, Tuba1b, TUBA1C, TUBA3C, TUBA3E, TUBA4A, TUBAL3, TUBB2B | |
| Synthetic peptide within Human Alpha-tubulin aa 402-451. | |
| 100 μL | |
| Primary | |
| Human, Mouse, Rat, Zebrafish | |
| Antibody | |
| IgG |