missing translation for 'onlineSavingsMsg'
Learn More
Learn More
Invitrogen™ AKAP8 Polyclonal Antibody

Description
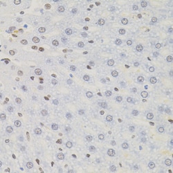
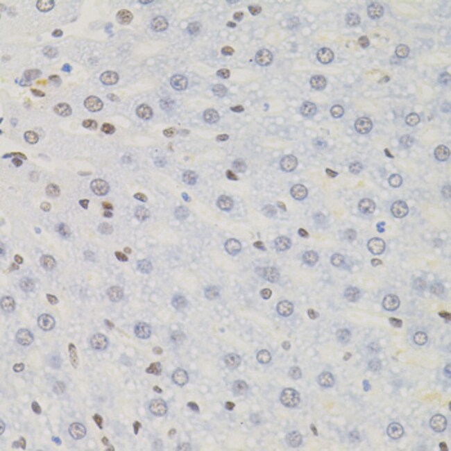
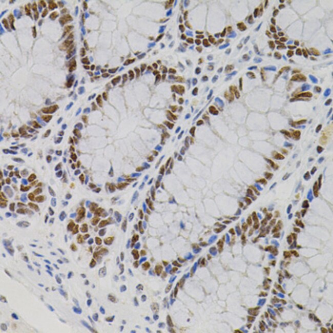
Positive Samples: BT-474, HL-60, SKOV3, HeLa Immunogen sequence: EGAPAPESSG EPAEDEGPTD TAEAGSDPQA EQLLEEQVPC GTAHEKGVPK ARSEAAEAGN GAETMAAEAE SAQTRVAPAP AAADAEVEQT DAESKDAVPT E.
The type II cAMP-protein kinase (PKA) is a multifunctional kinase with a broad range of substrates. Specificity of PKA signaling is thought to be mediated by the compartmentalization of the kinase to specific sites within the cell. To maintain this specific localization, the R subunit (RII) of PKA interacts with specific RII-anchoring proteins. The family of RII-anchoring proteins has been designated A-kinase anchoring proteins (AKAP). AKAP 95, also known as AKAP 8, is a nuclear matrix protein predominantly expressed in liver, heart, pancreas, kidney and skeletal muscle. During mitosis, AKAP 95 is recruited to the chromosomes and plays an essential role in mitotic progression. Characteristic of its family, AKAP 95 participates in PKA signaling through an interaction with the RII regulatory subunit. In addition, AKAP 95 forms a complex with HA95 and HDAC3 and is required for the deacetylation of Histone H3 in mitosis.
Specifications
Specifications
| Antigen | AKAP8 |
| Applications | ELISA, Immunohistochemistry (Paraffin), Western Blot |
| Classification | Polyclonal |
| Concentration | 0.49 mg/mL |
| Conjugate | Unconjugated |
| Formulation | PBS with 50% glycerol and 0.02% sodium azide; pH 7.3 |
| Gene | AKAP8 |
| Gene Accession No. | O43823, Q63014 |
| Gene Alias | 1200016A02Rik; A kinase (PRKA) anchor protein 8; A kinase anchor protein 8; AA673585; AKAP 8; AKAP 95; Akap8; AKAP-8; Akap95; AKAP-95; A-kinase anchor protein 8; A-kinase anchor protein 95 kDa; A-kinase anchor protein, 95kDa; A-kinase anchoring protein 8; AU015639; DKFZp586B1222 |
| Gene Symbols | AKAP8 |
| Show More |